
我们在选择体检项目的时候,对于X线、CT、、核磁共振(MRI)这些常用的影像学检查,很多人分不清楚。现在,我们把身体比作食物,告诉你如何去理解这些检查的意义。
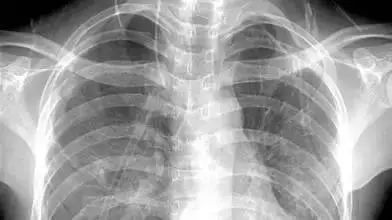
X光:像把面包压扁了看

X光会穿过人体,遇到被遮挡的部位,底片上不会曝光,洗片后这个部位就是白色的。
就像一片面包或一块棉花,看不到里面的纤维纹理,但用手压瘪了会清晰一些。X光最大缺点是受制于深浅组织的影像相互重叠和隐藏,有时需要多次多角度拍摄X光片。
X线摄影的原理是基于人体组织之间有密度和厚度的差别,当X线透过人体不同组织结构时,被吸收的程度不同,所以到达荧屏或胶片上的X线量即有差异,形成明暗或黑白对比不同的影像。
普通X线摄影因速度快,成本低廉,在临床中广泛应用,肿瘤诊疗中常用的X线主要包括胸腹部平片、骨关节摄影,以及胃肠道造影和乳腺普通X线摄影检查,其余检查方法因敏感性太低或无对应适应证,应用较少。
计算机断层扫描(CT):像把面包切片看

CT的成像原理是应用X线束围绕人体的某一部位连续断面扫描,具有扫描时间快,图像清晰等特点,可用于多种疾病的检查。

CT一般分为平扫和造影增强扫描。平扫是指不用造影增强或造影的普通扫描, 主要应用于对比度比较大的组织,如肺和骨骼。多数脏器及组织的肿瘤检查通常需要增强扫描以帮助诊断。增强扫描用高压注射器经静脉注入碘剂(如碘海醇、碘帕醇)后再行扫描的方法。血内碘浓度增高后,器官与病灶内碘的浓度可产生差别,形成密度差,能使病变显影更为清楚。
CT常用于检查肿瘤患者胸腹部,胸部CT检查显示出的结构更加清晰,对于胸部病变的检出敏感性和显示病变的准确性均优于常规X光胸片,特别是对于早期肺癌的确诊,胸部CT具有决定性的意义。对于肿瘤患者因治疗而产生的某些疾病如间质性肺炎、肺纤维化等意义重大。
CT检查的优点
(1)CT检查方便、迅速
(2)密度分辨率高,可定量测量组织的CT值
(3)CT图象清晰,解剖关系明确
(4)CT能提供没有组织重叠的横断面图象,并可进行不同平面的重建
(5)用造影剂进行增强扫描,不仅提高了病变的发现率,且能协助定性诊断
CT检查的缺点
(1)CT检查有一定辐射,对软组织肿瘤的诊断效能,特别是定性诊断方面仍有很大的局限性。
(2)由于CT机测定的是物理参数,即人体组织对X线的衰减值或物理密度,医生就是根据正常组织和异常组织呈现的衰减值差异作为诊断的依据,如果衰减值无差异,再大的肿瘤也无法鉴别。
磁共振成像(MRI):摇一摇再看

核磁共振机使用较强大的磁场,使人体中所有水分子磁场的磁力线方向一致,这时磁共振机的磁场突然消失,身体中水分子的磁力线方向,突然恢复到原来随意排列的状态。简单说就相当于用手摇一摇,让水分子振动起来,再平静下来,感受一下里面的振动。根据信号差异,区分不同组织,包括肿瘤组织与正常组织,MRI已应用于全身各系统的成像诊断。效果最佳的是颅脑,及其脊髓、心脏大血管、关节骨骼、软组织及盆腔等。
MRI检查优点
(1)无电离辐射损伤
(2)软组织和解剖结构显示清晰,对中枢神经系统、膀胱、直肠、子宫、阴道、关节、肌肉等检查优于CT
(3)多序列,多方向成像,可配合各种功能成像技术,为明确病变性质提供更丰富的影像信息。
MRI检查缺点
(1)对运动性器官,如胃肠道常常显示不清
(2)对于肺部这类缺少质子的部位检查成像效果不佳。磁共振成像对钙化灶和骨骼病灶的显示,也不如CT准确和敏感
(3)体内留有金属物品者不宜,例如带起搏器及避孕环者。
(4)危重病人不宜
(5)幽闭恐慌症患者不适合检查,检查所需时间较长,运行过程中噪声大

四种方式分别用于何种检查?
![]()
就诊时,医生常会开各种各样的影像学检查单:X线、CT、核磁……不少患者会质疑医生故意开高价检查。其实,医生是依据不同病情选不同影像检查的。
1、外伤骨头——粗看X光片、细看CT

各种外伤,如果怀疑伤到了骨头,优先选择X光照片,检查结果快速易得。若要进一步观察,可以选择CT。超声、核磁对于骨皮髓质等看不大清,一般不选择。
2、颈椎腰椎——最佳选核磁、次选CT

颈椎病、腰椎间盘突出等椎间盘疾病需要观察椎间盘与相应的神经根,要想更好观察这些软组织,最优选择就是核磁。同样,对于关节、肌肉、脂肪组织检查,核磁也是首选。
3、胸部——粗看X光片,细看CT

X光胸片可粗略检查心脏、主动脉、肺、胸膜、肋骨等,可以检查有无肺纹理增多、肺部钙化点、主动脉结钙化等。
胸部CT检查显示出的结构更清晰,对胸部病变检出敏感性和显示病变的准确性均优于常规X光胸片,特别是对于早期肺癌确诊有决定性意义。但是CT检查的辐射剂量高于X光。核磁对于肺部疾病的诊断,应用非常有限。