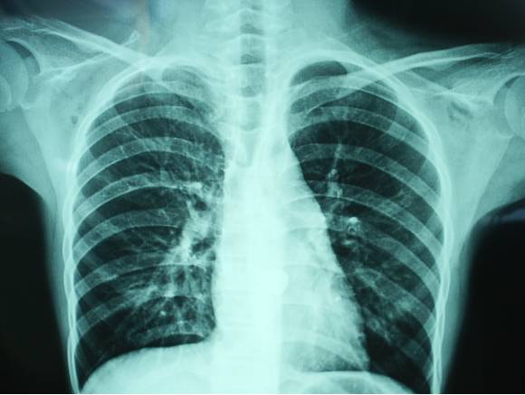
胸片
X线胸片,通俗地被称为“拍片”,也列为常规体检的检查项目之一。

胸片经常用于检查胸廓(包括肋骨,胸椎,软组织等),胸腔,肺组织,纵隔,心脏等等的疾病。如肺炎,肿瘤,骨折,气胸,肺心病,心脏病。
检查内容
一般胸片检查可拍头颅片、胸片、腹部平片、四肢的骨和关节片。
1、胸片能够观察肺部、胸膜、纵隔及心脏、大血管病变、四肢骨骼骨折和关节脱位。 |
2、可用于四肢软组织、食管及胃肠道的不透光异物的诊断。 |
3、腹部平片可以瞭解胃肠道穿孔后有无气腹存在,有无肠梗阻。 |
注意事项
1.特殊人群包括婴幼儿、孕妇(尤其怀孕初期三个月内),应谨慎X线检查,做好必要的防护。 |
2.除检查者外,其他人员不宜在检查室内久留。 |
3.检查者胸口口袋内勿放硬币、手机;颈部除去项链、吉祥物等饰品;女性患者请脱去带金属托的胸罩及有子母扣的衣裙。 |
