临床上,我们常常可以接诊这样一群中老年患者,由于种种因素,他们过早地失去了半口或者是全口牙齿。使用传统的镶牙办法,戴上去的牙齿用起来效果很差,还十分的不舒服。由于塑料基托的刺激,时间长了就会味觉迟钝,吃什么都不香,还经常脱落。一不小心,正在说话或者是吃饭的时候,假牙就会掉出来,十分难堪。给这些中老年朋友带来了不少烦恼。
现在好了,随着科学技术的进步,人工种植牙出现了。种植义齿具有传统义齿无可比拟的优点:美观、舒适、易清洁、咀嚼食物效率高,使用寿命长。其中,全口半口种植义齿在种植牙中占有相当重要的位置。以上所谈到的传统假牙给中老年朋友带来的烦恼,完全可以通过全口半口种植轻松解决。
我们知道,当牙齿脱落以后,牙槽骨就会吸收,我们的牙槽嵴高度就会降低,这对于传统的假牙固位非常不利。我们使用传统的半口或者是全口假牙,有两个致命的缺点:一个是咀嚼效率差,一个是固位很差。全口种植或者是半口种植主要解决这两个方面的问题。通过种植基桩连接的义齿,稳定度大大提高,不用担心假牙乱跑的问题。另外,咀嚼效率高,也就是俗话说的,吃饭能用上劲。
为了让广大朋友们弄清楚全口半口种植是怎么回事,我们给大家分享两个病例。
病例一
中年男性,全口牙齿缺失。解决方案:全口种植10颗种植体,采用球帽固位,活动义齿修复。
4年以前,该患者45岁时就失去了全口牙齿,曾经使用过普通的全口义齿,感觉十分的不舒服。每到吃饭的时候,就十分的烦恼,甚至影响了他的社交活动。他很想种植一口牙齿。但是,他在北京打工,打听到在北京种植全口牙齿大约需要十好几万块钱。所以,他请了假,回到漯河,慕名来到漯河市中心医院,要求做全口种植。根据他的影像检查资料,科室建议他下半口种植6颗种植体,上半口种植4颗种植体,利用这10颗种植体做活动义齿修复,他很顺利地配合了治疗。以下的图片是种植4年以后,今年复诊时拍摄的。

口腔内上颌4颗种植体,下颌6颗种植体。4年以后,植体依然完好

义齿正面,尚未戴入口腔

义齿反面,可以看到与种植体的基桩连接的小帽

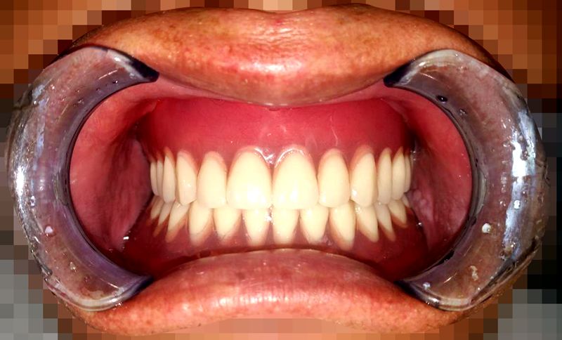
义齿戴入口腔内的情况
病例二
72岁,男性。上颌部分牙齿缺失,下颌牙齿全部缺失。解决方案:上颌种植3颗种植体,下颌种植7颗种植体,采用固定义齿修复。
该患者在青海工作,是一个企业的负责人,经常要参加一些社交活动和饭局应酬。同时,青海吃牛羊肉比较多,对牙齿要求较高。以前镶复的那口假牙难以胜任,还十分不舒服,给他的生活、工作都带来很多烦恼,经朋友介绍,来院求治。我们建议他种植成功以后,采用固定义齿修复,可以满足既美观又实用的目的。2017年,该患者整个治疗结束,下半口7颗植体修复14颗固定义齿,上半口3颗植体,修复了4颗固定义齿。本人非常满意,打算今年回来,种植上颌左侧的牙齿。

下半口植入7颗种植体

上半口植入3颗种植体

义齿尚未戴入口腔的情况

义齿戴入口腔内的情况
漯河市中心医院口腔种植科
联系电话:0395—3331531
联系人:陈峻岭 张学征 秦风霞