以下资料来自丁香园 专题-膝关节MRI诊断之半月板病变
半月板损伤是膝关节疼痛的常见原因之一,传统的X线平片及CT扫描不能显示半月板,X线关节造影及CT关节造影虽能显示半月板,但因属于微创伤检查,且CT扫描角度的限制,所以临床上很少应用。磁共振成像因具有高的组织分辨率,可以多方位、任意面成像,是目前检查半月板最好和首选的检查方法。
| 正常半月板在MRI的各个序列中均表现为均匀的低信号影,半月板损伤表现为半月板形态、边缘、大小及其内部信号的改变,按Mink和Fischer提出的方法进行分级。
1 半月板Ⅰ级损伤即早期退变(或变性),在病理上表现为灶性的或早期的半月板粘液样变性,这是由于半月板内纤维软骨基质内的粘多糖产物的增加所致。在MRI的T2WI上表现为半月板内点片状或类圆形高信号影,未达到半月板的关节面缘。此类型损伤在关节镜下表现正常。
2 半月板Ⅱ级损伤即严重变性,是Ⅰ级损伤的继续。在病理上粘液样变的范围比Ⅰ级损伤要广,但是并不意味着Ⅱ级损伤一定会进展到Ⅲ级。在MRI的T2WI上表现为水平或斜行条状高信号影,未达到半月板关节面缘可达到关节囊缘。另外,要估计Ⅱ级半月板损伤的稳定性即Ⅱ级损伤进展到Ⅲ级损伤的可能性大小尚待进一步研究。
3 半月板Ⅲ级损伤即撕裂,在MRI的T2WI上表现为半月板内的高信号影达到关节面缘。半月板撕裂表现复杂,正确判断半月板撕裂的部位、形态、类型对于临床手术方案的制定非常重要。根据MRI信号及半月板形态改变半月板撕裂又可以分为6个类型: 3.1 水平撕裂:MRI上表现为与胫骨平台平行的条状高信号影,此种类型比较少见。 3.2 垂直撕裂:MRI上表现为半月板内条状高信号影与胫骨平台垂直。 3.3 斜行撕裂:MRI上半月板内条状高信号影的方向与胫骨平台成一定的角度,矢状面上条状高信号影达到关节面的上缘或下缘,有时不易与纵形撕裂区别,需要结合冠状面或三维图像。此型是最常见的类型。 3.4 放射状撕裂:MRI上半月板内条状高信号影的方向与半月板的长轴垂直,好发生于内侧半月板的内1/3处,比较少见。 3.5 纵形撕裂:MRI上半月板内高信号影与半月板的长轴方向平行,此型撕裂累及半月板的范围广,可进展为桶柄状撕裂。 3.6 桶柄状撕裂:桶柄状撕裂几乎累及半月板的所有部位,临床症状重,关节绞索明显,为半月板撕裂的一个特殊而严重的类型,多来源于纵形撕裂,是半月板后角发生纵行撕裂后经体部向前角延伸,其内侧片段发生移位,这移位的片段类似于桶的柄,此类型撕裂在MRI中常易漏诊,可见内移的半月板碎片位于髁间窝、交叉韧带旁,矢状面上可以出现双前交叉韧带征或双后交叉韧带征,双半月板前角或双半月板后角征,以及领结缺如征。在MRI正中矢状位像上半月板桶柄状撕裂内移的半月板碎片移至后交叉韧带前下方,呈弯曲条状低信号,形似后交叉韧带,与正常的后交叉韧带一起构成“双后交叉韧带征”,这一征象在诊断半月板桶柄状撕裂中有重要意义。双后交叉韧带征常伴有半月板后角及体部的体积缩小。领结缺如征对诊断桶柄状撕裂有高的敏感性和特异性,比双交叉韧带征敏感,正常矢状位应连续2个层面出现领结征,如果只显示1层或无此征称为领结缺如征。另有鹦鹉嘴样撕裂、半月板关节囊分离等,少见。 4 盘状半月板:是半月板异常增大增厚,因其形态不利于膝关节负荷的传导,压力往往集中于较小的面积上,故易损伤。临床上表现为弹响、活动受限,合并撕裂时出现疼痛、腿无力,关节绞索。MRI上表现为:矢状面上若以5mm层厚扫描时有3个或以上层面显示半月板前后角相连,形成蝴蝶结样改变,冠状面上半月板最窄处宽度大于14~15mm,外侧缘高于对侧2mm以上。盘状半月板外侧多见。
宁静淡泊,平凡人生——性格即命运?!
|
| | 最近,VandeBerg等提出了不稳定性半月板损伤的诊断标准,所谓不稳定性损伤是指损伤的半月板或碎片通过探针可移位至股胫关节。 诊断不稳定性损伤的标准有四条: 首先,半月板碎片移位,是直接证据,但敏感性低。 第二,在多于3个3mm层厚的冠状面和2个4mm层厚的矢状面可见病变。 第三,同一侧半月板多于一个方位或形式(轮廓不规则、边缘分离、撕裂)的损伤。 第四,半月板内T2WI有液体状高信号(半月板囊肿所致高信号不预示不稳定性损伤)。 此四项标准在估计半月板不稳定性损伤时有高的特异性,但是,敏感性很低。判断是否不稳定性损伤为临床治疗方案的选择提供重要参考,以决定是否切除、修复或去除损伤的半月板。
|
| 半月板损伤的MRI表现及分期
正常膝关节两侧半月板的形态稍有不同,外侧半月板较小且较肥大,近似呈“O”字形,内侧半月板较大,近似呈“C”字形,内侧半月板前窄后宽,后部较前部为厚,外侧半月板相对较一致。两侧半月板分别附着于胫骨平台。正常半月板在SE和梯度回波序列上均呈低信号,边缘肥厚,越近中央越薄。内侧半月板较外侧半月板薄而大,与周围关节囊附着也较紧密。在矢状面成像时,两侧半月板在关节的边缘层面上呈“蝴蝶结”状形态,在中间层面,半月板的前后角相互分离,呈小尖端相对的楔形,内侧半月板的后角较前角长而外侧半月板的前后角大致等长。
|
| MRI能显示不同程度的半月板损伤。
半月板的退行性病变或撕裂均可表现为半月板内高信号影。
半月板撕裂分垂直型和水平型,前者多见于年轻人,因关节内液体充满撕裂口处,MRI表现撕裂处信号强度增高。水平撕裂多见于老年人,粘液样退行性变发生在半月板中央,之后形成水平撕裂,在MRI上呈高信号强度。
纤维半月板内部含有线样或球状高信号区,这些高信号区表示粘液变化和半月板撕裂的病理改变,半月板撕裂除信号异常外,还可表现为形态异常,如:①半月板尖部变钝。②半月板碎片移位。③半月板后角缩小,使后角小于前角。
Stoller分级 一级信号表现为不定形或球形的高信号影。 二级信号表现为线性的高信号,二者均不延伸至半节面。 三级信号为线状或弥漫性高信号并延伸至关节面,即半月板撕裂。为了减小假阳性率,必须在冠状面和矢状面上均见到延伸至半月板表面的高信号才可诊断撕裂。
|
| MRI诊断半月板损伤的价值:
1 病史和查体是诊断半月板损伤最基本方面。但国外有人做过MedLine文献的meta分析:查体诊断半月板损伤的准确性在60%左右。
2 国外报道MRI诊断半月板损伤的准确性在90%以上。MRI诊断半月板等膝关节疾病的准确性非常高,并具有无创的优点。
3 病史和查体明确诊断的半月板损伤病人,若有手术指征,可直接进行关节镜手术,可疑病例可行MRI检查,以明确诊断。
4 MRI的所谓“假阳性率高”,有时正反映了MRI的准确性。可能有以下原因:半月板1、2度损伤,关节镜无法发现;或关节镜术中未仔细探查,而漏诊半月板损伤。
|
| 以关节镜为标准,MRI诊断半月板撕裂的准确率为90%-97%,特异性为94%。假阳性率高于假阴性率。假阳性的原因主要是将膝横韧带、与外侧半月板相邻的腘肌腱鞘等误认为半月板撕裂,魔角现象(magic phenomenon)也可以引起假阳性。
|
| 0级 外侧半月板表现为均匀低信号,形态规则
|
| I级 外侧半月板后角见灶性高信号,不与半月板关节面相接触
|
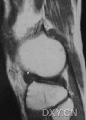
| Ⅱ级,见黑箭头
|
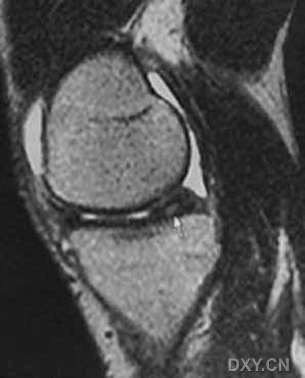
| III级 内侧半月板后角内见线形高信号达到半月板的关节面下缘
|
| 半月板斜行撕裂 斜行高信号影达半月板的下关节面缘 A:矢状T1 B:矢状T2
|
| 半月板斜行撕裂 斜行高信号影达半月板的下关节面缘 C:矢状STIR D:冠状T1
|
| 水平撕裂 ——
|
| 半月板前角增宽 A外侧半月板前角增宽 B双外侧半月板前角征
|
| 半月板体部放射状撕裂(体部垂直方向的高信号影)
|
| 膝横韧带:外侧半月板前角和前方的膝横韧带间有一线形的高信号影
|
| 半月板前角假性肥大
|
| 盘状半月板
|
| 半月板囊肿 外侧半月板前角前缘1cm大小囊肿,合并外侧半月板前角的水平撕裂
|
| 半月板囊肿 外侧半月板前角前缘1cm大小囊肿,合并外侧半月板前角的水平撕裂
|
| 双前、后交叉韧带征
|
| 双前、后交叉韧带征
|
| 双前、后交叉韧带征
|
| 半月板纤毛化 外侧半月板后角内有横行的高信号影,类似半月板撕裂信号,腘窝囊肿
|
| 半月板纤毛化 外侧半月板后角内有横行的高信号影,类似半月板撕裂信号,腘窝囊肿
|
| 0级 外侧半月板表现为均匀低信号,形态规则
|
| I级 外侧半月板后角见灶性高信号,不与半月板关节面相接触
|
| Ⅱ级,见黑箭头
|
| 膝关节镜下半月板手术的一点探讨 膝关节镜下半月板手术是目前所推崇的方法。膝关节镜检查不仅可明确诊断,矫正临床诊断错误,而且可判断破裂的范围和性质,决定切除范围。该手术创伤小,恢复快,而且在关节下同时处理半月板损伤继发滑膜、软骨病变和其它伴发病变。
|
| 随着关节镜技术的发展,使我们有必要将半月板的损伤分型,以便使我们能够确定进一步治疗的方法。
一、O’Connor分类较为实用:1)纵行裂,2)斜行裂,3)放射裂,4)水平裂,5)混合裂
二、根据术中所见的撕裂情况分型:1.纵行撕裂,2.横行和斜行撕裂,3.纵行和横行联合撕裂,4.伴有半月板囊肿的撕裂,5.伴有盘状半月板的撕裂。
三、按半月板损伤部位类型分型: 1.立体方向可分:垂直破裂、水平破裂。 2.在垂直方向破裂中按水平方向:纵行、横行、斜行。 3.按内外方向可分:内1/3,中1/3,外1/3。 4.按前后分:后1/3,前1/3,中1/3。 5.按破裂程度分:轻度,中度,重度。 6.按破裂范围分:单发,多发。 7.不涉及半月板本质的边缘破裂。
半月板损伤欧美一般内侧多于外侧为1:2~1:27,而我国外侧多于内侧,***与我国类似,其中以青年居多,成人男女发病率为1.15:1,左右侧为0.88:1,内外侧约为1:2。通过关节镜的长期观察内外侧半月板损伤比例基本为1:1。
|
| 半月板损伤病人行关节镜检查的指征为:
1. 典型的关节间隙压痛,肿胀,绞锁及打软腿。
2. 查体可见内、外侧关节间隙压痛,浮髌试验阳性。
3. 没有其它引起关节痛的原因,半月板只有轻度损伤。
4. 非手术治疗失败。
5. 有体征,特殊X线包括MRI及关节造影阴性病例。
|
| 半月板手术的一般原则:(一般了解吧 )
尽管半月板损伤的各种机制不同,但有其共同特点。
首先切除活动的部分,清除能突出到关节中央的破损半月板,影响视野看不到损伤的全貌; 其次不要使剩余的半月板轮廓突然的改变。 第三不要试图获得光滑的半月板边缘,这样会很浪费时间,有资料表明半月板术后6~7月行第二次关节镜检查发现半月板边缘光滑。 第四,经常用探针,探针可以帮助判断剩余半月板是否活动。 第五,以半月板质地为依据,正常半月板较坚硬,而病变的半月板相对较软,一旦发现半月板质地接近正常,就要停止切除,重新设计其边缘。 第六,保护半月板与关节囊连接处。 第七如果不能确定,宁愿多留一些半月板组织。
另外:
O’Connor依据切除半月板组织的量,把半月板切除分三种类型:
1. 半月板部分切除:仅切除松动不稳定的半月板碎片,在半月板部分切除术中,保留稳定和平衡的健康半月板组织的周缘。
2. 半月板次全切除术:切除受累部分时必须切除到半月板周缘,并包括部分周缘在内。所谓“次全”是因为在大多数病例中保留了半月板的前角和中1/3部分。
3. 半月板全切除术:当半月板与周边滑膜附着部位脱离并且半月板内病变和撕裂较广泛时,则需行半月板全切。
|
|