众所周知,一颗正常的人体心脏都有两个心房和两个心室,彼此正常工作,像发动机一样提供给我们生存源源不断的动力!
但要是有人仅有一个心室呢?
近日,漯河市中心医院麻醉科就接诊了一位复杂先天性心脏畸形并需要手术的患者。

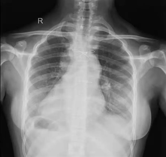
该患者33岁,患有复杂先天性心脏病,室间隔缺损,单心室,肺动脉瓣重度狭窄,镜面右位心并腹腔脏器反位,肺动脉和主动脉均发自右心室。十年前由于心衰严重无法继续生存,在外院行双向格林手术,即上腔静脉血流经肺循环氧合后进入体循环,下腔静脉血未经肺氧合直接进入体循环。
“这是一种姑息式手术方式,其只能满足基础的生活需要。”麻醉科主任李宪营指出,患者平时血氧饱和度仅维持在75%左右(正常人在95%以上),这样既不能快步走,更不能跑步,否则就会憋气甚至窒息,生活质量很低,加上患者又得了高分化子宫内膜腺癌,简直雪上加霜。

入住妇科后,妇产科主任吕净上高度重视,先后邀请心胸外科主任汤跃卿、心内科二病区主任蔡继锐、麻醉科主任李宪营等专家进行会诊,商讨最合适的治疗方案。
麻醉科副主任医师殷亚鹏介绍,“该手术最大的难点在于麻醉方式的选择,由于其特殊的体肺循环特点,麻醉中既要降低肺动脉压而增加上腔静脉血液回流提高氧合,又要维持外周血管阻力减少右向左分流,还要保证麻醉效果完善以便顺利完成手术,必须精准操作,稍有不慎就会造成患者心脏衰竭甚至危及生命。”

会诊过后,由麻醉科主任李宪营、副主任崔魁亲自指挥部署,心脏麻醉小组成员、副主任医师殷亚鹏根据患者心血管循环系统的特点制定个体化麻醉方案,最后选择连续硬膜外麻醉的方法,并严密监测调控患者术中的各项生命指征,圆满完成了临床麻醉工作。

最终由妇产科主任吕净上、副主任医师贾冬丽亲自操作,手术过程顺利,患者全程生命体征平稳,术后恢复满意。