打造豫中南地区现代化区域医疗中心

您的位置 :首页 > 新闻中心 > 健康科普

「科普」认识胆管细胞癌:关注“黄疸”这一关键信号!

来自: 医学影像科 李占飞 时间:2025-12-09 点击率:

一、什么是胆管细胞癌?

胆管细胞癌是起源于胆管上皮的一种恶性肿瘤。由于早期症状隐匿,公众对其认知度相对较低。了解其可能的表现,特别是识别“黄疸”这一关键体征,对于及时就医、明确诊断具有重要意义。

二、临床表现

胆管癌早期常无明显症状。当肿瘤生长到一定程度,导致胆管阻塞或侵犯周围组织时,才会出现以下表现:

1. 典型表现:无痛性、进行性加重的黄疸,主要表现为皮肤、眼白(巩膜)变黄、小便颜色加深呈浓茶色或酱油色、大便颜色变浅,呈陶土样灰白色。

2. 其他伴随症状:皮肤瘙痒、右上腹不适或疼痛、消化道症状(如食欲不振、恶心、乏力、体重下降等);部分患者因胆道感染可出现发热。

三、影像表现

胆管癌根据生长部位主要分为肝内型、肝门型和远端型胆管癌三种类型。

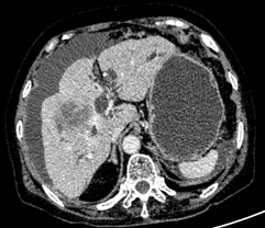
1.肝内型胆管细胞癌

CT、MRI:单发或多发低密度灶,边界不清,增强早期边缘强化,延迟期中央纤维间质进行性向心填充,周围呈相对低密度灶伴周围胆管扩张;薄膜回缩;肝叶萎缩。

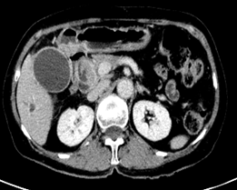
2.肝门型及远端型胆管细胞癌

病变区胆管壁增厚,管腔狭窄,伴上游胆管扩张。

•  CT:胆管浸润狭窄型胆管癌动脉期明显强化,外生型胆管癌门脉期强化更显著。

•  MRI:信号特征反应肿瘤组织成分,纤维成分越多,T2WI信号越低,粘液及坏死组织越多,T2WI信号增加,肿瘤无薄膜,增强呈渐进性强化。

肝内胆管细胞癌     肝外胆管细胞癌

病理提示①为肝内胆管细胞癌,②肝外胆管细胞癌 

四、重要健康建议

胆管细胞癌高危因素:

•  慢性胆道炎症(如胆管结石、肝吸虫病)、原发性硬化性胆管炎、肝硬化等是已知的风险因素,具有这些情况的人群应定期随访检查。

•  尤其对于无痛性、进行性加重的黄疸,务必及时到消化内科、肝胆外科或普外科就诊。并配合专业检查(如超声、影像及肿瘤标记物CA199相关检查)明确病因,以免贻误病情。

•  保持健康生活方式:戒烟限酒、均衡饮食、保持健康体重,也有助于维护肝胆系统健康。

重要提示:本文仅为健康知识科普,不构成任何医疗建议。具体诊断与治疗方案需由执业医生在全面评估后制定。若您有相关问题,请及时咨询专业医疗机构。

您可能还要了解这些
预约挂号 门诊出诊 特色医疗 检验查询 病案复印 微信公众号 微博 返回顶部