作者:医学影像科 陈征 主治医师
随着磁共振检查的普及以及人们生活水平的提高,大多数人来医院会选择磁共振检查来排除一些脑部疾病。但在我们拿到报告单后,大多数人经常会看到这样一条结论-“脑内缺血灶”,有的写的是少许,有的报的散在或多发。那么很多人就会有疑问,我有缺血灶会不会就是脑梗了或者是脑梗的前兆。
脑缺血灶是什么?
脑缺血灶严格来讲并不属于临床诊断,不是一个疾病名称,而是一个影像学术语或者说是核磁检查对一种病理改变的描述,它可以表示一种缺血缺氧的状态。一般是指在头颅磁共振上见到的斑点或斑片状T2WI/FLair异常高信号。其专业名称为假定血管起源的脑白质高信号(WMH),属于脑小血管病的范畴。

我为什么会有缺血灶?
脑白质高信号的出现与严重程度部分由基因决定,临床上发现如果父母有严重的脑白质高信号,其子女往往在年轻的时候就会检测到较多的脑白质高信号。也与我们的年龄以及是否患有高血压、糖尿病等慢性病有关。随着年龄的增加,脑白质高信号出现的几率以及数量的多少是逐渐增加的,通俗来讲我们需要警惕的是那些与年龄不相符的脑白质高信号。也有研究表明通过有效控制高血压及糖尿病等慢性病可以延缓脑白质高信号的进展。保持锻炼、积极控制慢性病也许有助于我们在几十年后拥有一个更年轻的大脑。
脑缺血灶=脑梗?
无论是急性期还是慢性期脑梗与缺血灶在磁共振影像上能很明确的鉴别开来,两者影像表现并不相同。脑梗会出现嘴歪眼斜、肢体无力等局灶性神经功能缺损症状,而重度的脑白质高信号则与认知功能下降、抑郁、步态障碍、吞咽困难及排尿功能异常等慢性症状相关。
既然缺血灶不是脑梗,大多数人也都存在,它是不是就是人脑自然衰老的一个过程,我是不是就不用管它,这种想法是不可取的,轻度的脑白质高信号可能对人体影响不大,但有研究表明严重的脑白质高信号缺血性脑卒中及痴呆的风险增加约1倍,脑出血的风险增加约2倍。
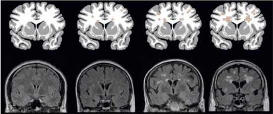
我的缺血灶到底严不严重?
评估方法主要有两种:改良Fazekas法(3级)、人工智能计算脑白质高信号体积


有了缺血灶我该怎么办?
选择到神经内科门诊就医。医生首先会排除一些容易与之混淆的神经系统脱髓鞘疾病、遗传性疾病等,其次判断患者缺血灶是否与年龄相符,病灶是否已经严重影响患者认知功能,是否同时合并了高血压、糖尿病等脑血管病危险因素,进而科学指导患者处理当前情况。