作者:医学影像科 陈征 主治医师
子宫常见检查方法
超声:最常用,初筛首选方法
子宫输卵管碘油造影(HSG):显示患者宫腔及输卵管的形态
磁共振(MRI):安全无创,软组织分辨率高,可多方位多参数成像,可清晰显示子宫形态轮廓、肌层及宫腔结构
宫腔镜:可以观察宫腔内情况
腹腔镜:可以观察宫腔外情况
正常子宫发育
卵巢:生殖嵴发育而成
输卵管、子宫体、宫颈、阴道上2/3段:副中肾管(苗勒氏管)发育而成
阴道下1/3段及外生殖器:尿生殖窦发育而成

6W:双侧苗勒氏管沿生殖腺双向发育,Wollfian管(中肾管)退化
10-13W:双侧苗勒氏管融合,纵隔下部吸收
13-20W:剩余纵隔吸收,发育完成输卵管、子宫体、宫颈及阴道上2/3段

子宫畸形分型
1988年美国生殖学会将子宫畸形分为7大类:
I型:苗勒管发育不全
II型:单角/残角子宫
III型:双子宫
IV型:双角子宫
V型:纵隔子宫
VI型:弓形子宫
VII型:乙烯雌酚药物相关畸形
MRKH综合征
即苗勒氏管发育不全,是女性胚胎发育早期双侧副中肾管未发育或其尾端发育停滞而未向下延伸所致
I型:单纯型,表现为单纯子宫、阴道发育异常,泌尿系统、骨骼系统发育正常,最常见
II型:复杂型,除子宫、阴道发育异常外,伴其它系统发育异常

盆腔无正常子宫结构,沿阴道走行区无阴道结构显示,多有正常卵巢结构与信号,双侧附件区卵巢下方实性软组织影(始基子宫),多无内膜结构显示
单角子宫
一侧副中肾管发育正常,另一侧副中肾管未发育或未形成管道(副中肾管下段发育不全则形成残角子宫)
伴或不伴残角,残角体积小,可存在内膜腔,可同外界相通
有宫内膜腔的残角,与单角子宫相通
有宫内膜腔的残角,不与单角子宫相通
残角内无内膜腔
无残角

子宫呈梭形或香蕉形,偏向盆腔一侧,T2WI解剖分层正常,无倒三角宫腔形态
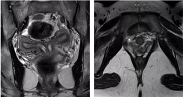
双子宫
双侧副中肾管未融合,各自发育成两个子宫、宫颈和阴道。75%伴阴道纵隔或斜隔

两个独立的子宫、宫颈、阴道,T2WI解剖分层正常
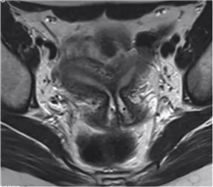
双角子宫
双侧副中肾管在子宫顶端未融合


两个分开的宫腔,宫底凹陷,两侧宫角距离增大,腔内分隔组织信号特征与子宫肌层一致
纵隔子宫
最常见,双侧副中肾管融合后,中隔吸收受阻,而形成不同程度的纵隔
分型
完全性:纵隔由宫底达到宫颈内口或外口
部分性:纵隔由宫底未达宫颈内口
需与双角子宫鉴别
纵隔子宫宫底外形正常或轻度凹陷小于1cm,双角子宫则宫底外形凹陷大于1cm
纵隔子宫两角间距小于4cm,双角子宫则大于4cm
纵隔子宫两角夹角小于75°,双角子宫则大于105°


子宫外形正常,宫腔内可见纵隔影将宫腔分离,呈纤维性或肌性信号
鞍状子宫
又称弓形子宫,双侧副中肾管相当于宫底部分的一小段未能完全融合

外形多正常,有时可见宫底外缘平坦或轻微凹陷,宫底肌层略突向宫腔内
T形子宫
为医源性先天性子宫发育异常,常见于其母亲孕期有服用乙烯雌酚病史者

宫腔形态呈特征性的T形,宫腔边缘不整