导 读
晚上突发胸痛,主要血管突然堵塞,存活率只有一半,患者需要急诊手术,否则会出现心脏破裂甚至死亡!情况危急!
得到消息后,院胸痛中心主任刘东亮教授立刻启动绿色通道,激活导管室,开通病变血管,抽吸血栓,术中还紧急进行电击除颤,最终把患者从死亡边缘拉了回来......
-=晚上9点,心脏主供血管突然堵塞=-
事情发生在4月9日晚8点50分,家住西平的于先生突发胸痛,大汗淋漓,并出现濒死感,家属第一时间拨打漯河市中心医院急救中心电话求救,16分钟后,急救中心值班医生王栋赶到现场,立即为患者完成首份心电图检查并上传至漯河市胸痛中心微信群。
“根据心电图的情况,我判断这可能是一例左主干闭塞性病变,也就是负责心脏2/3血液供应的主要血管突然堵塞,情况十分危急。”漯河市中心医院工会主席、漯河市胸痛中心主任刘东亮教授介绍说,如果不能得到及时救治,病人将在短时间内心功能丧失,危及生命!
病人发病时的心电图,据此判断出这可能是一例急性心肌梗死左主干闭塞性病变。
-=50%存活率,胸痛中心全员待命与时间赛跑=-
“左主干闭塞的患者只有30%左右有救治机会,得到救治的病人存活率也只有50%左右。”心内科一病区副主任医师彭庚说,患者血管开通的越早,总缺血时间越短,救治成功的机会就越大,预后就会更好。“时间就是心肌,时间就是生命!”
“立即开通绿色通道,一键启动导管室,绕行急诊直接进入手术室!”刘东亮教授第一时间作出判断,指示全体导管室工作人员待命,等待病人到来。
9点13分,导管室激活,相关人员到位,做好急诊手术和抢救的准备。
9点20分,病人送到医院。
9点28分,绕行急诊、CCU直达导管室。
9点35分,上手术台完成穿刺。
9点48分,完成冠脉造影。
-=大量血栓,随时可以导致心脏破裂危及生命=-
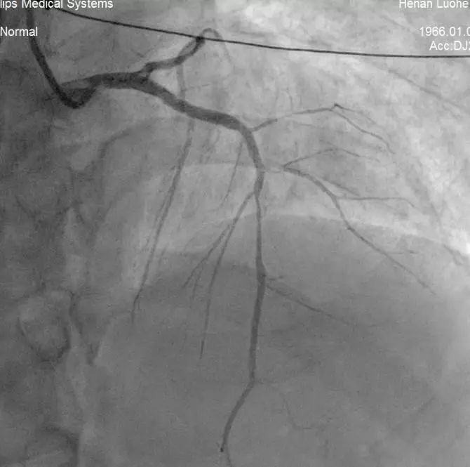
造影示左主干开口位置的闭塞病变,内有大块血栓
造影结果显示为左主干近段完全闭塞,患者处于休克状态,随时可能出现心脏破裂、恶性心律失常等并发症危及生命。
“救治机会就是立即开通病变血管。但此时一旦开通血管,病人又很可能发生再灌注性心律失常,同样是九死一生。”刘东亮教授介绍。

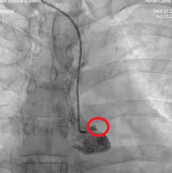
为病人安装主动脉内球囊反搏装置(IABP)
“就在手术紧要关头,监护上显示病人血压为85/50mmHg,提示病人心泵功能差,如果冒然直接开通血管,极有可能立即诱发不良事件。”心内科一病区主治医师王浩然回忆,刘东亮教授随即指示彭庚给予主动脉球囊反搏导管置入,维持血压,同时立即指引导管到位,指引导丝迅速通过闭塞病变,导丝通过后造影显示病人左主干血管内存在大块血栓,且血流不通畅。
-=突发险情,准确判断确保患者转危为安=-

开通血管后发生的再灌注性心律失常,为尖端扭转性室性心动过速,非常凶险。
“就在大家都在关注病人心电监护时,不好的消息出现了,”王浩然说,为病人进行血栓抽吸术的同时,再灌注心律失常发生了,而且是最为凶猛的室性心动过速。“由于提前为病人安装了主动脉内球囊反搏装置,维持病人的心泵功能不成问题。”但情况紧急,立马进行一次电击除颤后,病人随即转为窦性心律,为保证血流通畅,植入一枚支架打通了残余狭窄的血管。

介入术后通畅的血管
手术结束后,患者梗死血管血流完全恢复,症状缓解,生命体征平稳,随即返回CCU病房密切监护治疗。
“虽然当晚又出现了两次室性心动过速,但是已经有了充分的准备,及时处理后病人的病情也基本稳定了。”刘东亮教授说到,“后续我们还将为他制定一系列康复治疗方案,希望能够尽快恢复病人往日的生活。”

术后恢复的心电图
“为患者争取到最短的抢救时间,并给予专业的救治,这就是胸痛中心的优势所在,也是建设胸痛中心的全部意义所在!”被问及感受时,刘东亮如是说。“这都是团队的力量,只有各个环节衔接好,才能及时有效地进行抢救,对于我们,或许明天还可以休息,但是对于患者们,那就是最重要的时刻!”