病人还在手术台上,动脉瘤术中破裂,命悬一线,漯郑联动,寻找特殊“夹子”,时间一分一秒过去......近日,一台手术历时9个小时,最后患者成功得救,术后神志清楚,肢体活动正常。
4月12日上午,像往常一样 ,副院长谭占国教授带领主治医师段勇刚来到神经外科一病区3床前,对江女士(化名)身体恢复情况进行查看,江女士拉着谭教授的手感动地说,“谭教授,您看,我现在头也不疼了,胳臂也有劲儿了,这都多亏了您和您的团队,没有放弃对我的治疗,想尽一切手段将我从死亡边缘拉了回来,太感谢您了!”

但是作为神经外科专家,谭占国教授和他的团队至今仍记得15天前江女士入院时紧急的场景和术中那段惊心动魄的经历......
颅内血管破裂 紧急抢救事不宜迟
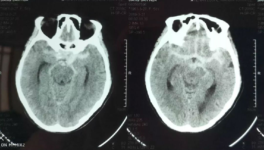
事情发生在3月27日,患者江女士(化名)早上起床后突感头痛,并伴随呕吐,视物成双、言语不清、肢体麻木无力抽搐、意识丧失、大小便失禁等,家人发现后立即送往当地镇医院,行头颅CT提示“蛛网膜下腔出血”,为求进一步治疗,家人急忙将患者转入市中心医院,考虑到颅内动脉瘤的可能,医院按照脑卒中治疗流程对患者进行急诊血管造影,检查结果证实为“前交通动脉动脉瘤破裂”。

▲头颅CT检查发现“蛛网膜下腔出血”
“动脉瘤已经破裂,需要及时救治,否则一旦二次破裂患者极有可能死亡。”副院长谭占国教授带领神经外科一病区医护专家对患者病情进行讨论后得出结论,“时间就是生命,事不宜迟,立即对患者行开颅手术加闭动脉瘤治疗!”

▲脑血管造影检查为“前交通动脉瘤破裂”
术中“雷炸了” 临危不乱稳军心

由于手术难度大、风险高,谭占国教授决定亲自主刀,带领主管大夫段勇刚为患者行开颅手术,手术在紧张有序的进行2个小时后,逐渐接近“雷区”位置—动脉瘤周围结构处,在显微镜下谭占国教授娴熟而又小心翼翼解剖血管,逐渐暴露动脉瘤,动脉瘤和周围血管被逐渐分开,但其左侧壁和基底部与左侧大脑前动脉结合紧密,比影像学显示要严重得多,手术难度增大。
谭占国教授依然沉着有条不紊慢慢分离动脉瘤和血管,就在动脉瘤左侧囊壁快要分离成功的关键时刻,动脉瘤突然破裂,“雷炸了”!血液突然一下子全喷了出来,显微镜下什么都看不出来了,所有人的心都揪了起来!

关键时刻,谭占国教授临危不乱,沉着冷静地用吸引器吸出血液,用临时阻断夹阻断颈内动脉,显示动脉位置,用普通动脉瘤夹闭动脉瘤,释放阻断夹后发现基底部不能完全夹闭。
“若用普通动脉瘤夹夹闭动脉瘤,则会造成左侧大脑前动脉A2段以后血管狭窄,远端可能闭塞,对脑功能造成严重影响,若不完全夹闭,患者持续失血将会死亡。”谭占国教授介绍到。
情况紧急,就在大家都为手术方案发愁的时候,谭占国分析到,普通动脉瘤夹完全加闭,和不完全加闭对患者都是不利的,可以尝试用跨血管动脉瘤夹加闭,既可以加闭动脉瘤,又可以保护血管不受损伤。
但由于这种高难度的动脉瘤非常少见,医院当时没有配备这种特殊的动脉瘤夹!
郑州漯河两地联动 上演生死大接力赛
本院没有,就借外院的!
十万火急,谭占国教授来不及更衣,在手术台上立刻开始联系。
周口、没有!
驻马店,没有!
周边其他几家市级医院,也没有!
“同样的原因,都是因为这种特殊高难度的动脉瘤非常少见,其他医院当时也没有这种特殊的动脉瘤夹。”主治医师段勇刚说到。见周边地区均没有此类动脉瘤夹,时间又紧急,谭占国教授不再犹豫,立即向省级医院联系。
病人还躺在手术台上,每过一分钟就增加一分钟的危险。手术团队焦急地等待消息。
由于动脉瘤已经破裂出血,为防止出血,需要临时阻断左侧大脑前动脉供血,“但长时间阻断,又会造成脑细胞缺血坏死。”在焦灼等待的同时,谭占国教授不停进行手术操作,精神高度集中,隔一段时间,释放一次阻断夹,以便恢复左侧大脑前动脉供血,每释放一次,显示屏上就会看到动脉瘤口血喷如泉,团队所有人的心都提到了嗓子眼!
由于手术时间延长,手术室外,患者家属焦灼万分,一会站立,一会踱步,一会转圈,不停地询问病情。
郑州终于传来好消息,可以借用动脉瘤夹!
大家紧张的心刚舒了一口气,又犯了难:郑州离漯河100多公里,动脉瘤夹怎么才能以最快的速度送到手术台?
“派人去取,来回太耽误时间。我们立即与对方沟通协调,由他们安排专人乘高铁将动脉瘤夹送到漯河,同时,我们安排车辆、安排专人到高铁站去接。”谭占国教授介绍。
就这样,一场与患者生命赛跑的接力赛在郑州与漯河两地之间拉开。
“我们两个人,一人就坐在车里,车不熄火,另外一个人,守在出站口,五分钟一联系,随时掌握对方的位置。”
“当时的过程,真的像赛跑!他们是跑着出站的,我接到动脉瘤夹后,来不及说一句谢谢的话,掉头就往咱们医院的车前跑,进入手术室时,可以说是冲进去的。”段勇刚回忆到。

▲术后动脉瘤完全夹闭
生命还是眷顾那些执着的人们!
动脉瘤夹在最短的时间内送达,谭占国教授迅速用跨血管动脉瘤夹将动脉瘤夹闭,临时阻断夹后观察,动脉瘤完全夹闭,左侧大脑前动脉A2段血管通常良好。
手术成功!!
手术室内,手术团队欢舞雀跃,手术室外,患者家属相拥而泣。
目前,患者恢复顺利,神志清楚,肢体活动已恢复正常。
“当患者来到医院找到我们的时候,其实就已经把生命托付给了我们,我们所要做的就是不惜一切代价去帮助他们。患者来时痛苦的表情,患者家属术中焦急等待的表情,患者和家属术后轻松愉快的表情,都成为我们执着追求,不言弃、不放弃的动力,这也许就是作为一名医生的全部意义所在!”谭占国教授深有感触地说。
颅内动脉瘤为啥被称为“不定时炸弹”?

颅内动脉瘤称为人体内的“不定时炸弹”,颅内动脉瘤破裂是神经外科急危重症之一,需及早处理,否则易再破裂,第二次破裂出血的死亡率达80%。
动脉瘤是颅内血管动脉壁损伤形成动脉壁局限性扩张或膨出的良性病变,是造成蛛网膜下腔出血的首位病因,在脑血管意外中,仅次于脑血栓和高血压脑出血,位居第三。任何年龄可发病,多数好发于40至60岁中老年女性。造成颅内动脉瘤的病因尚不甚清楚,多数学者认为颅内动脉瘤是在颅内动脉管壁局部的先天性缺陷和腔内压力增高的基础上引起,高血压、脑动脉硬化、血管炎与动脉瘤的发生与发展有关。
颅内动脉瘤破裂的典型症状都有哪些?
1、头痛
见于大多数病人,骤发劈裂般剧痛,可向颈、肩、腰背和下肢延伸,被认为是“一生中从未经历过的头痛”。
2、颅内压高
恶心呕吐,面色苍白、出冷汗。
3、意识障碍
见于半数以上病人,可短暂意识模糊至深度昏迷。少数病人无意识改变,但有畏光、淡漠、怕响声和震动等症状。
4、精神症状
患者在急性期可出现各种精神症状,如欣快、谵妄、幻觉等,多在2~3周后自行消失。有的患者可出现记忆力减退、注意力不集中、分析判断力障碍等。
5、癫痫
见于20%病人,多为大发作。
6、体征
①脑膜刺激征,在发病数小时至6天出现,但以1~2天最为多见。Kernig征较颈项强直多见。
②单侧或双侧锥体束征。
③眼底出血,可为视网膜、玻璃体膜下或玻璃体内出血(Terson综合征)。
④局灶体征,通常缺少。可有一侧动眼神经麻痹、单瘫或偏瘫、失语、感觉障碍、视野缺损等。
如何预防颅内动脉瘤?
颅内动脉瘤是一种一旦破裂出血则可能会危及生命的疾病,那如何来预防颅内动脉瘤呢?根据目前的医疗水平,对颅内动脉瘤的成因还不是十分清楚,但是根据与颅内动脉瘤形成相关的几个因素:先天性发育、血流冲击、感染、动脉硬化以及外伤,我们可以做一些自己能做到的,以降低发生颅内动脉瘤的可能。
01、平时应坚持良好的生活习惯,均衡营养,合理运动,戒烟戒酒、保证睡眠。
02、加强自身修养,遇事冷静、不急躁、少发脾气,减少肾上腺素额外分泌,减少或延缓高血压、动脉硬化的发生。
03、对脑动脉瘤高危人群,应该坚持每年脑部体检,建议尽早通过头颅CTA、MRA,甚至DSA做脑部血管的评估。
04、注意动脉粥样硬化的预防,防止感染性疾病对血管的损害,加强颅脑外伤时血管损伤的救治。
05、对于已有动脉瘤潜在疾病的患者,如何注意避免诱发因素十分必要。如:控制血压稳定,保持大小便通畅、及时治愈咳嗽、避免情绪激动,减少对颅内压的影响,避免动脉瘤破裂出血的发生。