近日,漯河市中心医院引进的飞利浦全新“霓彩”系列 — UNIQ FD20/15全能型双向血管造影系统,在全科医师培训基地综合楼第二导管室正式启用。
2月3日当天,第一导管室6台射频消融术紧罗密布,16楼导管室20余台冠脉介入手术也在紧张有序的进行中。这时,神经外科一脑出血病人亟须尽快行脑血管DSA检查,明确出血原因并及早治疗。
与此同时,刚刚安装完毕UNIQ FD20/15全能型双向血管造影机的第二导管室便接到通知,“立即启动”,副院长刘东亮亲自指导,飞利浦公司专职培训老师保驾护航。经过DSA检查,患者明确诊断为脑血管畸形。介入科主任宋太民主刀,在介入科医护人员和麻醉科的共同努力下为该患者进行了介入栓塞治疗,手术顺利。
宋太民及其团队正在进行介入手术
术中造影精确显示脑血管畸形合并颅内动脉瘤
用微弹簧圈栓塞颅内动脉瘤,用ONXY胶栓塞血管畸形团,注胶过程中可以充分显示畸形血管,准确判断胶的走行,有利于保护周围正常血管,有效减少过度栓塞导致脑梗死等并发症
栓塞术后造影动脉瘤致密栓塞,小脑畸形血管团消失,术后患者恢复良好
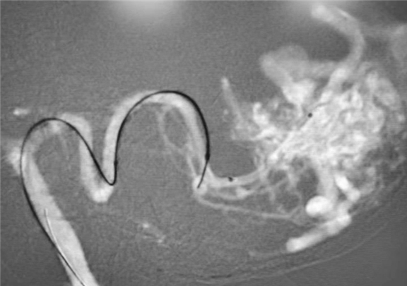
颅内动脉瘤支架辅助下介入栓塞术,支架植入后,术中即刻可以通过支架显影技术清晰支架的展开及血管贴壁情况,准确评估手术效果
在院领导的大力支持下,在医学装备部、耗材管理科、基建科、信息中心、感染办等科室的帮助下,虽然疫情防控形势严峻,“霓彩”系列 — UNIQ FD20/15全能型双向血管造影系统飘洋过海顺利入关到达医院,经过严格消毒、取检化验并确认安全的情况下,顺利安装、调试到投入使用。
据悉,新型双向血管造影系统设备应用数天内,数名高难度颅内动脉瘤栓塞、颅内血管狭窄支架植入、急性脑梗死急诊患者取栓治疗均取得良好效果。
工作人员对运输DSA的集装箱消毒杀灭
全新UNIQ FD20/15全能型双向血管造影系统安装成功
副院长刘东亮现场指导工作
飞利浦全新“霓彩”系列 — UNIQ FD20/15全能型双向血管造影系统是业内公认的血管机金牌产品,它对病变血管造影一次,可以同时显示该血管病变的任意两个不同位置。采用的全新微剂量技术,能够在智能仿生原理支持下的剂量和图像质量的平衡点,使得在优秀的图像质量下,使患者手术过程中的辐射剂量更低。
该血管造影机能够明显提高图像质量,对于复杂畸形和较小的腔内器材(如颅内血管微支架等)的显示更具优势。使医生在血管造影及介入手术中可以看到更多的临床影像细节,使微血管和细小病灶得以更加清晰的显示,同时又兼容心脏与外周介入的综合需求,还兼具增强CT功能,可以进行三期扫描,清晰显示病变和微细血管。

漯河市中心医院介入科
漯河市中心医院介入科现有专职介入医师10名,主任医师1名,副主任医师3名,主治医师2名,医师4名,其中硕士研究生3人。拥有专业护理人员20余名,技师7名,拥有病床20张。多名专家担任学术职务,为我省第一批获得肿瘤综合介入、外周血管介入、神经介入治疗资质的临床及科研基地,在河南省介入治疗领域享有较高的声誉。
科室开展了以食管癌介入治疗为主的全身各部位恶性肿瘤的介入治疗,外 周血管疾病及神经血管疾病的介入治疗。2003年宋太民主任开展《食管癌介入治疗靶动脉选择规律性研究》课题被列为河南省医学科技创新人才工程资助项目。2007年《老年人食管癌的介入治疗》获得河南省科技进步二等奖。取得了良好的治疗效果和社会效益。
科主任宋太民主任医师为该学科带头人,为中华医学会放射学分会介入专委会神经介入组委员,国家卫计委缺血性脑卒中介入专业委员会委员,“河南省出血中心联盟”副主任委员,河南省抗癌协会介入诊疗专业委员会副主任委员,河南省抗癌协会肿瘤微创治疗专业委员会副主任委员,河南省医学会介入治疗专科分会常务委员,漯河市医学会介入分会主任委员等。在他的带领下,每年累计完成各类血管性和非血管性介入治疗2000余例。每年累计开展颅内动脉瘤等各类神经介入治疗200余例。无论病例数及治疗效果均在我省处于领先地位。