近日,漯河市中心医院(漯河市第一人民医院 漯河医专一附院)通过远程心电设备发现两例异常心电图,一天之内成功抢救两名急性心肌梗死患者。
9月20日中午11:30,正在田地里干活的王先生突发胸闷、胸痛,同时伴大汗,休息后仍不缓解,13:45到附近的龙城卫生院就医,值班医生询问病情后,立即使用远程心电设备为患者行心电图检查,心电图同步上传至漯河市中心医院心电一张网诊断中心。

心电一张网上传心电图提示Ⅰ、avL、V4-V6导联ST段上斜型压低,avR导联ST段抬高,符合deWinter综合征改变,等同于ST段抬高型心肌梗死,极其凶险,是需要急诊冠脉介入诊疗的。
漯河市中心医院冠心病监护病房(CCU)副主任吕云霞2分钟内判读心电图,并电话联系患者,结合患者症状,考虑急性冠脉综合征:急性心肌梗死可能,遂第一时间与接诊大夫联系,指导患者卧床休息、吸氧、心电监护、建立静脉通路、心梗一包药应用,立即联系胸痛中心派120至发病地转运病人,同时一键启动导管室,我院急诊科、心内导管室、CCU有关人员迅速到位,一场与死神抢夺生命的生死时速上演了!

15:20
病人到达我院大门,
绕行急诊科和CCU直接到达心内导管室。
15:36
开始造影

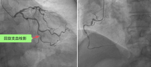
患者急诊冠脉造影图像
15:43
导丝通过,冠脉内溶栓后植入1枚支架。

术毕收入CCU病房,术后胸闷、胸痛症状完全缓解,心电图恢复正常。患者进院至血管开通只有短短的23分钟,远低于业内平均用时(60分钟)。
间隔8小时后(09-20 21:27)心电一张网再次响起急促提示音,漯河市中心医院CCU主任医师陆振涛急忙打开沙北卫生服务中心上传的心电图一看:下壁ST-T明显抬高,提示急性下壁心肌梗死!立即发出红色预警,同时与值班医生贾大夫联系,指导患者应用心梗一包药,联系胸痛中心平台,提前为患者办理住院手续,全程绿色通道,接诊病人后双绕行就近送至心内导管室。



得益于当地医院的及时精准处置,急诊冠脉造影时血管已再通,前向血流恢复3级,患者症状明显缓解,因系三支血管病变,拟商议后择期行血运重建治疗。
漯河市中心医院“心电一张网”项目作为市民生工程,在市委市政府、市卫健委及医院领导和各级医疗机构的鼎力协助下,自5月底运行以来,共服务基层群众3673人,预警心电图547例,危急值心电图53例,均在第一时间得到了及时有效的处置,大幅缩短了急危重心血管疾病患者救治时间,提高了救治成功率,也让更多的百姓切实体会到“基层检查、上级诊断、精准救治”的高效医疗模式。
这得益于一套相当成熟的运作体系:远程报告自动传送、5分钟左右远程读图、异常图第一时间电话联系村卫生室医师预警、微信传图胸痛交流群、急诊心内团队响应、电话药物指导、派出120、绿色通道介入手术,环环相扣。一次次与死神进行生死时速的较量!一次次为患者的生命健康保驾护航!