近日,经过漯河市中心医院多学科联合溶栓取栓,家住召陵的意识不清“醒后卒中”患者闫某(化名)顺利出院。
56岁的闫某,凌晨01:00入睡,家人07:00发现该患者四肢瘫痪,意识不清,反应迟钝,拨打急救电话120后,07:56分送至我院急诊科就诊,急诊科徐广伟大夫紧急为患者行头部CT: 未见脑出血,并完善心电图、血液等相关检查。
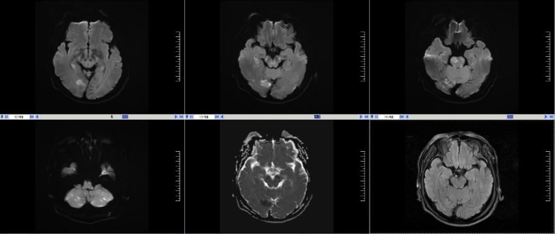
图1 磁共振显示DWI与T2 Flair序列不匹配
神经内科黄圣明大夫认真为患者查体,进行神经功能评估,该患者急查头颅磁共振显示:脑干小脑多发急性脑梗死,基底动脉闭塞。该患者DWI-T2FLAIR序列不匹配,按照指南符合静脉溶栓指征,积极与患者家属沟通病情后,予行静脉溶栓,静脉溶栓后患者病情无明显改善,介入科刘要先主任为患者行“经皮颅内动脉取栓术”,取栓术中可见患者闭塞的基底动脉再通,血供恢复。住院期间经过蔡黎睿医师及黄圣明副主任医师的精心治疗,患者和家属对我院急性脑梗的救治能力给予了很大的肯定!
醒后卒中,是指入睡时无急性卒中症状,醒后本人或被他人发现卒中症状的急性脑梗死,占所有新发缺血性卒中的15%~25%,很多研究发现醒后卒中预后欠佳,因其发病时间不确定,常常错过静脉溶栓或血管内介入治疗。这类患者往往病情较为复杂,需要多学科联合诊疗,迅速采取溶栓取栓等措施,以最大限度地恢复脑部功能。通过高效的卒中绿色通道,医疗团队能够在最短时间内对患者进行评估和治疗,打响“大脑保卫战”。
神经内科主任王明科表示:按照指南,对于醒后卒中,患者磁共振DWI与T2 Flair序列不匹配可以静脉溶栓,椎基底动脉闭塞患者可以发病24小时内介入取栓。

图2 取栓术后患者闭塞的基底动脉再通,血供良好
很多人认为,癌症是中国居民健康的头号杀手。而事实证明,国人的第一大死亡原因是脑卒中,也就是我们俗称的“中风”。权威期刊《柳叶刀》2019年6月发布了一篇重磅研究,根据分析显示:1990--2017年间,中国居民的主要死因一直是脑卒中!
急性脑梗死作为一种突发性急性脑血管疾病,是卒中最常见的类型,占所有卒中的80%。脑卒中的治疗就是一场“大脑与时间的赛跑”,尤其大血管闭塞所致的急性脑卒中,具有极高的致残率和致死率。所以,脑卒中患者抢救贵在争分夺秒,脑梗死溶栓需要在4.5小时内实施,越快消除血栓、开通血管、恢复血流,就能最大限度地保留正常的脑组织功能,有效减少或避免后遗症的发生。
漯河市中心医院“卒中中心”将神经内科、急诊科、神经外科、介入科、康复科、影像科、检验科、功能科等科室进行整合,实现多科协同联合救治,开展了静脉溶栓、动脉溶栓、血管内支架取栓、血管内支架植入术、脑动脉瘤栓塞术等技术。通过多科联动、急诊、绿色通道的规范建设,加快了脑卒中救治,减少了残疾率。通过对群众的宣教加强了对高血压、糖尿病、心脏病、肥胖、吸烟的控制,从而减缓了脑卒中的发生。漯河市中心医院卒中中心将努力为百姓的卒中预防、治疗、康复做出自己积极的贡献!