近日,漯河市中心医院心胸外科团队成功救治一例73岁男性肺大疱破裂伴进行性血胸患者。
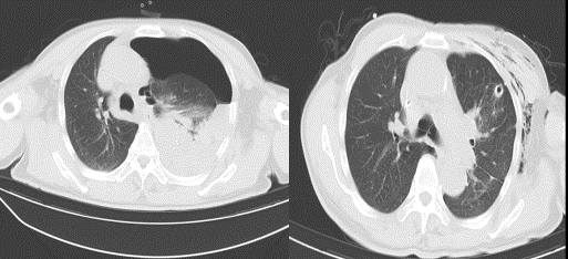
患者于某某,6月15日凌晨04时急诊入院,胸部CT提示左侧大量液气胸,左肺被压缩约80%,纵隔受压右偏。询问病史,否认外伤史,只是在入院前一天咳嗽后突发胸痛伴呼吸困难。值班医生付东林紧急行床旁胸腔闭式引流术,引流出大量气体及血性液体约1500ml,心胸外科副主任马广耀组织科室团队成员紧急进行讨论后,一致决定积极完善术前准备,急诊全麻下行胸腔镜探查术。
术中发现患者胸膜顶两处活动性出血,胸腔大量积血及血凝块,共吸出约800ml积血,争分夺秒下彻底止血,切除病变肺大疱并彻底止血后未见有活动性出血,同时行胸腔镜下胸膜固定术预防术后复发。术后患者在科室医护人员的指导下早期进行呼吸功能锻炼,现恢复良好,择期康复出院。

肺大疱破裂危机四伏,科学防治指南请了解
肺大疱,也被称为肺大泡,是指发生在肺实质内的气肿性肺泡。
为什么会长肺大疱?
肺大疱一般继发于细小支气管的炎性病变,如肺炎、肺气肿和肺结核,临床上最常与肺气肿并存。
肺大疱有哪些表现及并发症?
小的肺大疱可无任何症状,巨大肺大疱可使患者感到胸闷、气短。当肺大疱破裂,产生自发性气胸,可引起呼吸困难、胸痛,严重者并发血气胸。
主要辅助检查
1、胸片X线检查是诊断肺大疱的主要方法。
2、CT检查能显示大疱的大小,有助于与气胸的鉴别诊断。03
肺大疱的治疗
1、体积小的肺大疱多采用非手术治疗,如戒烟、抗感染治疗等。
2、药物治疗:常用的药物包括茶碱类、糖皮质激素等,这些药物可以帮助保持呼吸的顺畅,缓解呼吸困难等症状。但需要注意的是,药物治疗只是辅助治疗手段,不能替代手术治疗。
3、手术治疗:体积大的肺大疱,合并自发性气胸或感染等,应采取手术治疗。手术方式为微创胸腔镜下肺大疱切除术+胸膜固定术等。
日常注意事项
1、避免肺内压增高的因素:如不提重物、不用力屏气,不剧烈咳嗽、打喷嚏,以防肺内压力增高,导致肺大疱的破裂,诱发气胸。
2、戒烟:烟草燃烧时,会产生含有尼古丁、焦油等有害物质,容易损伤呼吸道黏膜,甚至引起呼吸道感染,从而会加重肺大疱的症状,诱发肺大疱的破裂,导致气胸的发生。
3、不要剧烈运动,平时可以散散步、打太极拳、八段锦类的,来增加运动量。
4、平时多做腹式呼吸来锻炼肺功能:
肺大疱患者日常饮食
推荐饮食:
1、蔬菜与水果:如哈密瓜、橘子、苹果、梨等富含维生素和水分,有助于润肺止咳、改善呼吸道健康。
2、优质蛋白:如牛肉、鸡蛋、鱼虾等提供优质蛋白,增强免疫力,促进肺部组织修复。
3、粗粮:如糙米、燕麦等富含膳食纤维,有助于维持肠道健康,防止便秘,改善整体健康状况。
不推荐饮食:
1、辛辣食物:如辣椒、花椒等可刺激呼吸道,引发咳嗽、气喘等症状,应尽量避免。
2、油腻食物:如油炸食物、烤肉等脂肪含量高,容易增加血管硬化风险,不利于肺大疱的治疗。
3、烟酒:烟草和酒精可损伤肺部组织,加重病情,患者应严格戒烟限酒。
定期检查与监测
肺大疱患者应定期进行胸部X线、CT等影像学检查,以监测病情变化和治疗效果。同时,注意观察症状变化,如有不适及时就医。