春节期间,由于家庭聚餐及走亲访友的活动增多,消化道异物的患者叶随之增多。消化道异物是影像科日常工作中经常会遇到一类疾病,很多患者心中都有一个疑问:“医生,不小心吞了(硬币、笔帽、塑料、木块等),拍片子到底能不能看清楚在哪儿啊”,下面让我们一起聊聊当怀疑消化道异物的时候,该如何选择合适的影像学检查。
一、什么是消化道异物?
消化道异物通常指被误吞的难以消化且未及时排出而滞留消化道的各种有形物体,也包括误服的危险化学物质,主要发生在儿童及老年脑人中。当发生误吞消化道异物时,需要进一步判断异物的类型、数量、部位和滞留时间,并行相应的辅助检查明确诊断。
二、消化道异物的分类有哪些?
1.钝性异物:以硬币最为常见,占上消化道异物的72.3%;
2.尖锐异物:常见的有枣核、螺丝钉、针、别针、牙签、骨刺等;
3.电池:纽扣电池最常见,多发生于1岁左右的儿童;
4.磁性异物:如磁珠、磁棒;
5.长形异物:棒棒糖棒、塑料勺、笔帽、钉子、笔等。
三、消化道异物如何选择影像检查?
消化道异物常常需要借助X线平片或CT检查,如何选择合适的影像检查方法呢?上面形形色色的异物种类很多、材质也不同,那么是不是所有的异物都能在X线下现出原形呢?
答案是否定的。X线平片不是万能的,只能显示不透X线的物质,也就是在X线下显影的异物,如硬币、铁丝、铁钉、部分玻璃等;而透光物质,也就是在X线下不显影的异物,如枣核、鱼刺、鸡骨头、牙签、木屑、弹力球等,X线片很少能显示出来;所以在选择检查时要有针对性。
1.X线平片检查--基础初筛利器
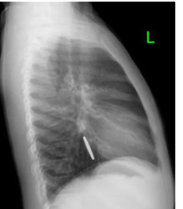
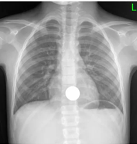
适用于金属或高密度异物,胸、腹部正侧位X线片可了解异物数量、大小、形态及位置,硬币类圆钝消化道异物需随访X线,以观察异物的位置,是否存在嵌顿的情况。

正侧位显示硬币的位置位于上消化道

腹腔异物(硬币) 腹腔异物(铁丝)
2.CT检查--全方位侦察兵
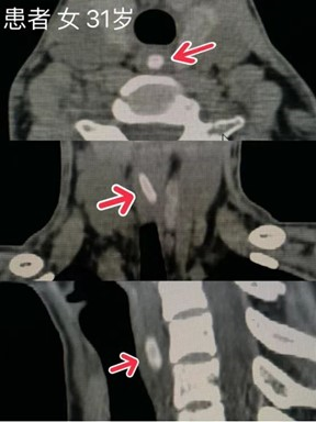
非金属异物或透光异物应建议进行CT检查(如鱼刺、枣核、鸡骨头等),可直观了解有无异物,异物的位置、大小、形态及毗邻关系,并可通过后处理技术进一步了解异物具体情况,还可进一步评估异物周围组织损伤的程度。如异物滞留体内时间较长,尤其食管异物,在行异物取出术前应行CT检查,当怀疑异物合并腹膜炎、脓肿、瘘管、食管异物穿孔等需要外科手术干预时,可行CT检查。需要注意的是,即便完善胸腹部CT检查,可能由于胃肠内容物等原因,少部分的消化道异物仍无法明确诊断。

食管颈段异物(枣核)

异物(枣核)自行掉入胃腔内
3.钡餐造影--细微异物的“放大镜”
当X线平片无法确定异物情况时,钡餐造影就派上用场了。患者喝下含有硫酸钡的混悬液,硫酸钡会均匀涂布在上消化道黏膜表面,让异物周围的轮廓更加清晰。尤其是针对鱼刺这类细小且不显影的异物,钡餐造影能通过观察钡剂的充盈缺损、龛影等间接征象,精准定位,不放过任何“蛛丝马迹”。但要注意,若是怀疑有食管穿孔,就不能使用钡餐造影,以免钡剂外漏引发更严重的并发症。

食管胸段异物(鱼刺)
4.MRI:金属异物禁忌MRI检查,是因为强磁场下会二次损伤,大部分异物MR显示效果不佳,检查时间较长,故不建议。
四、消化道异物如何处理?
怀疑消化道异物要及时就医治疗,不可耽误,切勿使用醋、馒头等方式自行处理,有可能会加重异物阻塞感,导致延误治疗时机。
非高危消化道异物大多数无需干预可自行排出,对于不能及时自行排出体外的异物,消化内镜是首选治疗;若已出现严重并发症,或经评估内镜诊疗可能出现严重并发症,需外科手术干预。通过影像学检查做到心中有数,为后续治疗提供准确依据,保障患者健康。