在我们科室就诊的患者,对于染色体核型报告,并不陌生。那报告中的符号都代表什么意思呢,今天让我们来揭开染色体核型报告的神秘面纱。
一、什么是染色体核型?
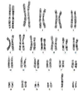
染色体核型是指通过显微镜观察和分析,将个体细胞中的染色体按照大小、形状和着丝粒位置进行排列,形成的一种标准化图像。这种图像可以显示染色体的数量、结构和排列顺序,对于遗传学研究和临床诊断具有重要意义。
二、人类有多少条染色体?
正常人体含有46条染色体,包括22对常染色体和1对性染色体。常染色体命名为1号,2号……22号,这些染色体大小,着丝粒位置,经显带后深浅各异等,根据这些特征,实验室将其进行分类。性染色体有男女差异,男性为XY,女性为XX。
三、我们应该如何解读染色体核型报告?
1、正常染色体核型:正常男性染色体核型为:46,XY;正常女性染色体核型为:46,XX。该结果中的“46”代表实验室计数20个细胞中的染色体均为46条。XY和XX代表性染色体与其社会性别符合。从这一结果,我们也能判定人体内46条染色体的结构均为正常。

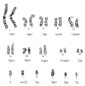
2、染色体多态性:有些患者拿到的报告,除了前面结果有46,XY/X外,结果后面附带有1qh+,9qh+,inv(9)(p12q13),13ps+等下图所示的结果,甚至包含图中的两个或三个结果。拿到这样的报告,患者就很焦虑,我的结果和正常的不一样,我的染色体是异常。其实不是这样的,这类结果称为染色体多态性,其实这类结果绝大多数遗传自父母,目前尚无明确证据证明不良孕产史,胎儿畸形等与此类结果相关,故可认为该异常属于正常多态。

3、常染色体数目异常:这类异常就是人体多了或少一条或几条染色体,大多在孕早期发生流产或死胎。但仍有部分可存活至出生,如47,XY/X,+21,就是人体多了一条21号染色体,这也是我们经常听到的“唐氏儿”,这类异常属于严重致畸致残的疾病。随着目前人们对孕检的重视,各类产前检查的应用已在最大程度上避免该类患儿的出生。

4、性染色体数目异常:这类异常比较常见的有45,X(特纳综合征),47,XXY(克氏综合征),47,XXX(超雌综合征),47,XYY(超雄综合征),这些性染色体综合征临床表现各异,医生需要根据受检者的不同诉求进行针对性遗传咨询。




5、染色体结构异常:如果在染色体核型结果上看到有t,inv,rob等字样就提示你的染色体结构发生问题了,对于表型正常患者来说,这类异常大多是平衡性异常,这也就是说染色体总量和正常染色体是一样,仅仅是结构发生变化了,发生了染色体断裂后的重新排列。这类异常可能并不会影响患者表型,但会影响其生育,携带这类染色体异常患者,可能发生胎儿流产,死胎或出生畸形儿等。

四、染色体核型适用人群有哪些?
1、不孕症、少/弱/无精子症、反复流产(≥2次)、胚胎停育、畸形胎儿生育史等,需排除染色体异常因素;
2、计划通过辅助生殖技术受孕的夫妇,建议双方进行染色体筛查;
3、不明原因的智力低下、生长发育迟缓、多发畸形、行为异常或外生殖器两性畸形患儿。
4、女性原发性/继发性闭经、性腺发育不良;男性睾丸发育不良、第二性征缺失等;
5、亲属中存在染色体异常、遗传病患儿;
6、经医生评估后需要做染色体核型检查的其他情况等。
五、是不是做这一项检查,就能查出我染色体上所有问题呢?
并不是这样的,任何实验方法都有优缺点的。该技术可以用来诊断染色体数目和结构异常,包括平衡性和非平衡性的重排,片段大小要在5-10Mb以上;该技术不能诊断染色体微小结构异常,单基因病,多基因病,环境或药物导致的胎儿宫内发育异常等。