一、疾病概述
颅骨嗜酸性肉芽肿(skulleosinophilicgranuloma,SEG)是一种临床比较少见的疾病,至今原因不明,以儿童、青少年多见,偶尔可见成年人,呈缓慢发展。颅骨嗜酸性肉芽肿多数为颅盖骨的单一病灶,累及颅底骨少见。有的病人可以自行缓解,也有的病人变为致死性的多系统受累及。其特点是局部骨质破坏、组织内嗜酸性粒细胞浸润,主要表现为疼痛、肿胀或包块,需通过影像学检查及病理活检确诊,多数预后良好。
二、临床表现
1.局部症状:病变部位(如顶骨、枕骨)出现疼痛、肿胀或可触及的包块,部分患者因骨质破坏导致头部外观异常。
若病变压迫周围组织(如脑膜、神经),可能引起头痛、恶心或神经系统症状。
全身症状:多为单发病灶,一般无发热、消瘦等全身反应;若合并多系统受累(如肝、肺、皮肤),则需警惕朗格汉斯细胞组织细胞增生症(LCH)进展。
三、诊断方法
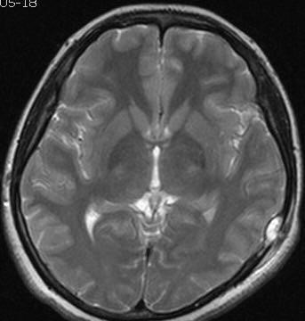
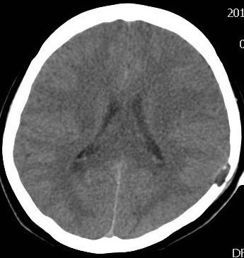
1.X线/CT:显示溶骨性破坏(边界清晰,局限性颅骨缺损,缺损边缘不规则呈“虫蚀样”改变,颅骨内外板受破坏,在病变组织内可见条索小骨影,病变周围可见软组织块影征象)。
2.MRI:评估软组织受累范围。

3.病理:确诊金标准,发现CD1a和S-100蛋白阳性的朗格汉斯细胞及嗜酸性粒细胞浸润。
4.实验室检查:血常规可能显示嗜酸性粒细胞轻度升高,但无特异性。
四、治疗原则
1.保守治疗:范围小、无症状病灶可观察随访,部分病例可自愈。
2.手术治疗:多数医生认为颅骨嗜酸性肉芽肿是良性病变,为防止病灶进行性扩大,可以手术治疗。对于单发病灶可以扩大切除颅骨病变,术中需将病损颅骨咬除至正常部位。如果病变累及硬膜,应该同时处理硬膜。如果术后颅骨缺损大于3cm,可以同期行颅骨修补术。
3.其他治疗:有报道认为颅骨嗜酸性肉芽肿对于放疗比较敏感,另外因为本病发病机制不明确,因此术后的辅助治疗多种多样,有化疗、放疗以及应用激素等。