久坐后腰酸背痛,翻身时臀部刺痛,走路感觉“胯骨错位”……这些症状可能不只是腰椎问题,而是骶髂关节在发出警告!今天,带您了解这个“低调却重要”的关节。

什么是骶髂关节炎?
骶髂关节炎是各种原因引起的单侧或双侧骶髂关节的炎性反应,是腰痛的常见原因之一。可分为原发性和继发性,其中以继发性骶髂关节炎更多见。原发性骶髂关节炎又称为“退变性骶髂关节炎”,是指随着年龄的增长,腰骶部的肌肉、韧带的支持力量减弱,关节软骨磨损,引起骶髂关节的骨质增生及炎性反应;继发性骶髂关节炎是指由于生物力学的不平衡使承重区的关节软骨异常磨损而引发骨性炎症,或由强直性脊柱炎等自身免疫性疾病、化脓性髋关节炎等感染性疾病,先天骶髂关节发育不良等关节结构异常导致。
临床症状主要包括:①腰痛:下腰部持续性钝痛,多发生在活动后,休息可以缓解。疼痛也可发生在臀部、腹股沟、腿部甚至足部。②晨僵:即早晨起床后关节僵硬,活动后可以缓解。③活动受限:病情进展,关节疼痛加剧、软组织挛缩等原因可能导致骶髂关节活动受限。
如何诊断骶髂关节炎?
医生可以通过查体,Piedallu坐位俯身试验、“4”字试验、骨盆挤压分离试验等判断病情,也可以通过实验室检查来辅助诊断,伴有滑膜炎时可出现超敏C反应蛋白(CRP)和红细胞沉降率(ESR)轻度升高;继发性骶髂关节炎可出现原发疾病的检查异常,如强直性脊柱炎患者HLA-B27检测可为阳性。影像学检查也可以为临床提供诊断依据。
X线:对骶髂关节病变有诊断和分级意义,但只能检测慢性骨变化,这种变化通常需要几年时间才能变得明显,会导致诊断延迟。典型的骶髂关节炎可表现为关节面模糊、软骨下骨密度增高、骨质侵蚀、囊性变,随病情进展,可出现关节间隙狭窄甚至融合。

CT:结构变化比X线更灵敏,可更详细地评估骶髂关节病变,较MR可更好地评估关节韧带部分的骨质增生。

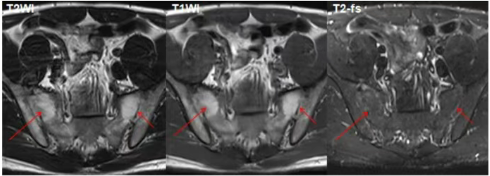
MR:可显示软骨下骨、韧带、滑膜和关节囊的软骨和急性炎症活动的初期变化,从而进行早期诊断。研究表明,MR在检测早期结构变化方面具有与CT类似的敏感性,并且对于评估脂肪沉积具有更好的灵敏度。MRI显示的骨髓水肿可为强直性脊柱炎的诊断及病情评估提供重要信息,且MRI现在正逐渐用于评估抗炎药物的疗效。
活动性炎症病变(早期改变)包括骨髓水肿,滑膜炎,关节囊炎,附着点炎。

结构性破坏(慢性改变)包括软骨下骨硬化,骨质侵蚀,关节周围脂肪沉积,骨桥、关节强直。


结语
骶髂关节虽小,却是人体稳定的“枢纽”,它是被低估了的疼痛源,但是通过积极的物理治疗和自我保健,症状都能够有效控制。故早发现、科学干预,寻求专业医师的治疗和评估,以及生活中保持良好姿势和运动习惯才能避免慢性疼痛困扰。