一、什么是Lisfranc关节与Lisfranc损伤
Lisfranc关节并非单一关节,而是指一系列连接中足跗骨(三块楔骨和骰骨)与前足跖骨的关键关节复合体。足的横弓、纵弓依靠Lisfranc关节维持足够的刚度,从而达到支持体重的作用。完成力学由中足向前足的传导。
Lisfranc关节仅包括第1、2跖跗关节及第1、2楔骨间关节;广义上Lisfranc关节又称Lisfranc复合体,包括3块楔骨、骰骨及与5块跖骨之间的关节等结构。
Lisfranc损伤是一种严重的中足损伤,即指这一关节复合体因外伤发生的损伤。损伤形式多样,主要包括:
1.韧带撕裂或拉伤:尤其是连接第一楔骨与第二跖骨基底的关键韧带(Lisfranc韧带)。
2.关节脱位或半脱位:跖骨基底从正常位置发生移位。
3.伴有或不伴有骨折:如跖骨基底或楔骨的撕脱性骨折。Lisfranc损伤,若漏诊后若未经适当处理,可能导致创伤性关节炎、慢性疼痛、足弓塌陷和行走困难等长期后遗症。
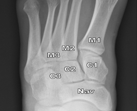
三、影像表现
1.Lisfrac关节正常X线(负重位):M1与C1外侧缘对齐;M2与C2内侧缘对齐;C1-M2、M1-M2间距小于2mm。
2.相较于X线检查,CT和MRI检查可提供更多信息:
• CT可以显示平片阴性的轻微骨折或半脱位,可以沿关节长轴或短轴进行重建;
• MRI评估软组织及韧带损伤有优势,可疑轻微中足损伤,最常见韧带损伤征象:韧带断裂、韧带损伤、韧带周水肿。

四、Lisfranc 损伤分型:
Type A(同向脱位,homolateral) | 所有跖骨基底向同一方向(一般向外侧)脱位 |
Type B(部分脱位,isolated) | 部分跖骨脱位,其他保持正常 |
Type C(分散脱位,divergent) | 第一跖骨向内,其余向外,形成放射状分离 |
五、为何Lisfranc损伤容易漏诊?
1.症状与常见扭伤相似:伤后通常表现为足背肿胀、疼痛、无法承重,易被误认为普通踝扭伤或足部挫伤。
2.肿胀掩盖移位:急性期严重肿胀可能使X光片上的细微关节错位难以辨认。
3.对损伤机制认识不足:除了直接撞击(如重物砸伤),低能量损伤(如台阶踏空、运动中足部固定时身体扭转)也可能导致,后者更易被轻视。
4.需负重位检查:标准的X光检查若未在患者忍痛站立负重下拍摄,可能无法显示关节的不稳定和潜在分离。
所以,任何中足部位(足背中部)受伤后,若出现明显肿胀、疼痛、脚底出现瘀斑,尤其是站立或试图行走时疼痛加剧,都应怀疑及时去医院就诊!
重要提示:本文仅为健康知识科普,不构成任何医疗建议。具体诊断与治疗方案需由执业医生在全面评估后制定。若您有相关问题,请及时咨询专业医疗机构。