脑积水并非指大脑中积聚了“多余的水分”,而是描述脑脊液(一种包围大脑和脊髓的透明液体)循环、吸收或产生出现障碍的病理状态。脑脊液在正常情况下起着缓冲保护、供给营养及清除代谢废物的关键作用。脑积水可发生于任何年龄,从新生儿到老年人均可能发生,其表现和影响因年龄而异。了解其基本知识,有助于及早识别相关信号并寻求恰当医疗帮助。
核心概念:脑脊液循环失衡
脑积水本质上是一种“脑脊液动力学失衡”。常见原因包括:
• 循环通路梗阻(如先天结构异常、肿瘤、出血或感染后粘连)
• 吸收功能下降(如蛛网膜颗粒功能障碍)
• 产生过多(相对少见,如某些脉络丛病变)
这种失衡导致脑脊液在脑室系统内或周围积聚,可能增加颅内压力并压迫脑组织。


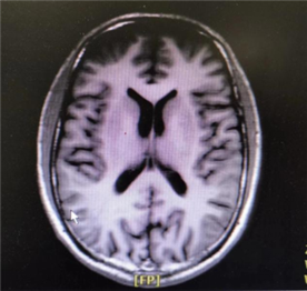
正常的脑室影像 扩大的脑室影像
不同年龄段的临床表现差异显著
1. 婴幼儿
婴幼儿因颅骨骨缝未闭,其表现常与颅内压增高及头颅形态改变相关:
• 头围异常快速增长:是最重要的早期体征之一,需定期监测头围并与生长曲线对比。
• 前囟饱满、张力高:触摸时感觉紧绷、膨出。
• “落日征”:眼球向下凝视,上方巩膜暴露。
• 易激惹、呕吐、喂养困难:因颅内高压引起。
• 发育里程碑延迟:如抬头、坐立较晚。
家长须知:婴儿头围的规律测量非常重要,任何异常增大或伴随上述症状,都应及时儿科或神经外科就诊评估。


2. 儿童及成人
颅骨已闭合,主要表现为颅内压增高的症状:
• 头痛:常为持续性或进行性加重,晨起时或咳嗽、弯腰后可能更明显。
• 恶心、呕吐:可与头痛相关,有时呈喷射性。
• 视力障碍:如视物模糊、复视(看东西重影),因视神经受压或颅内高压影响。
• 平衡与协调障碍:行走不稳、步态异常。
• 认知或行为改变:如注意力不集中、记忆力下降、反应迟钝。
这些症状可能被误认为疲劳、压力或其它神经系统问题,持续存在时需引起警惕。
3. 老年人(尤其关注正常压力脑积水)
在老年群体中,一种特殊类型——特发性正常压力脑积水(iNPH)较为常见,其典型三联征包括:
• 步态障碍:行走缓慢、步基增宽、起步困难,似“黏在地上”。
• 认知障碍:以思维迟钝、注意力不集中、记忆减退为主(可类似痴呆早期表现)。
• 膀胱控制障碍:通常表现为尿急、尿频,后期可能出现尿失禁。
重要提示:iNPH的症状与阿尔茨海默病、帕金森病等有重叠,但具有潜在可治性。因此,当老人同时出现这三大类症状时,应考虑到此可能性并寻求神经科医生评估。
诊断与治疗原则
诊断:主要依靠影像学检查。头部计算机断层扫描(CT)或磁共振成像(MRI)可以清晰显示脑室是否扩大及可能的梗阻部位。对于疑似正常压力脑积水的患者,医生可能会建议进行脑脊液放液试验等进一步评估。
治疗:目标是恢复脑脊液循环平衡,治疗方法取决于病因、类型和患者状况。
手术治疗是主要方式:
• 脑室-腹腔分流术:最常用,将一根分流管置入脑室,将多余脑脊液引流至腹腔吸收。
• 第三脑室底造瘘术:适用于某些特定类型的梗阻性脑积水,通过内镜在脑室内创造新的引流通道。
病因治疗:如切除引起梗阻的肿瘤。
药物治疗:作用有限,通常仅作为临时措施或用于不适合手术的患者。
治疗决策必须由神经外科等专科医生在全面评估后制定。许多患者经过及时、适当的治疗后,症状可获得显著改善。


风险因素与预防意识
部分脑积水由先天性因素或难以预防的疾病(如肿瘤)引起,但以下措施有助于降低某些后天获得性脑积水的风险或促进早发现:
• 围产期保健:规范产前检查,有助于发现部分胎儿脑结构异常。
• 防治感染:及时治疗中枢神经系统感染(如脑膜炎)。
• 预防外伤:注意安全,防止严重头部外伤。
• 关注卒中与出血:积极管理高血压等危险因素,预防脑出血,发生后密切监测。
• 提高对老年人症状的认知:对老人新出现的步态、认知和排尿联合障碍保持警觉。
重要提示:本文仅为健康知识科普,不构成任何医疗建议。具体诊断与治疗方案需由执业医生在全面评估后制定。若您有相关问题,请及时咨询专业医疗机构。