作者:影像科 杨雪丽
盆底器官脱垂是PFD的主要疾病、是中老年女性常见病,其发病基础是支持盆底器官的肌肉、韧带和筋膜组织损伤或松弛,导致盆底脏器脱离正常的解剖位置。了解正常盆底解剖结构至关重要。
盆底又称盆膈,由肛提肌、尾骨肌及盆膈上筋膜、盆膈下筋膜构成,肛提肌按其肌纤维走行,可分为耻骨阴道肌、耻骨直肠肌、耻尾肌、髂尾肌4个部分。盆底的主要功能一是为盆腔内脏器提供结构支撑,二是协助排便和控制排尿。正常女性盆腔可根据解剖分为3个腔室:前腔包含膀胱和尿道,中腔包含子宫和阴道,后腔包含直肠和肛管。盆底肌把骨盆底封闭,可以维持盆腔内生殖器官、泌尿系统及肠道的正常功能。使这些器官维持在正常的位置发挥重要作用。
正常女性盆底主要MRI解剖结构:

MRI无辐射,软组织分辨力高,可清晰显示盆腔内各脏器和盆底肌肉的解剖,准确判断肛提肌损伤、出血、萎缩,结合动态成像技术可无创、实时、准确地评估盆底3个腔室的形态学表现及其功能状况,是诊断盆底功能障碍性疾病重要的检查项目。在诊断中常测量的径线如下:
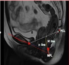
1. 耻尾线(PCL):正中位上耻骨联合下缘至尾骨关节最后一个关节或者倒数第二个关节,代表正常盆底。
2.耻骨中轴线(MPL):贯穿耻骨联合长轴的线,代表处女膜水平。
3.H线:从耻骨联合下缘至ARJ的连线,反映肛提肌裂孔前后径,正常长度<6cm,大于6cm代表肛提肌裂孔扩大。
4.M线:从PCL线至ARJ的垂直距离,代表盆底下降幅度,正常长度≤5cm,大于2cm认为肛提肌裂孔下移。
