作者:李济民
有过腹部增强CT检查经历的患者都知道,医生会要求患者带约500ML水,这是什么原因呢?
首先,在注射对比剂后会交代你喝500ML水(胰腺炎之类禁止饮食的项目除外)。
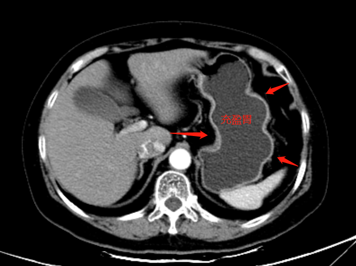
这些水经胃排入肠道,使肠道呈充盈状态,便于查看脏器类具体的病症。因为,做增强CT检查前需禁食4小时,此时人体的胃肠道处于收缩、聚拢状态,如果检查部位没有处于充盈状态,其显示的软组织密度和真正存在的软组织密度的病灶,无法进行确切的鉴别。
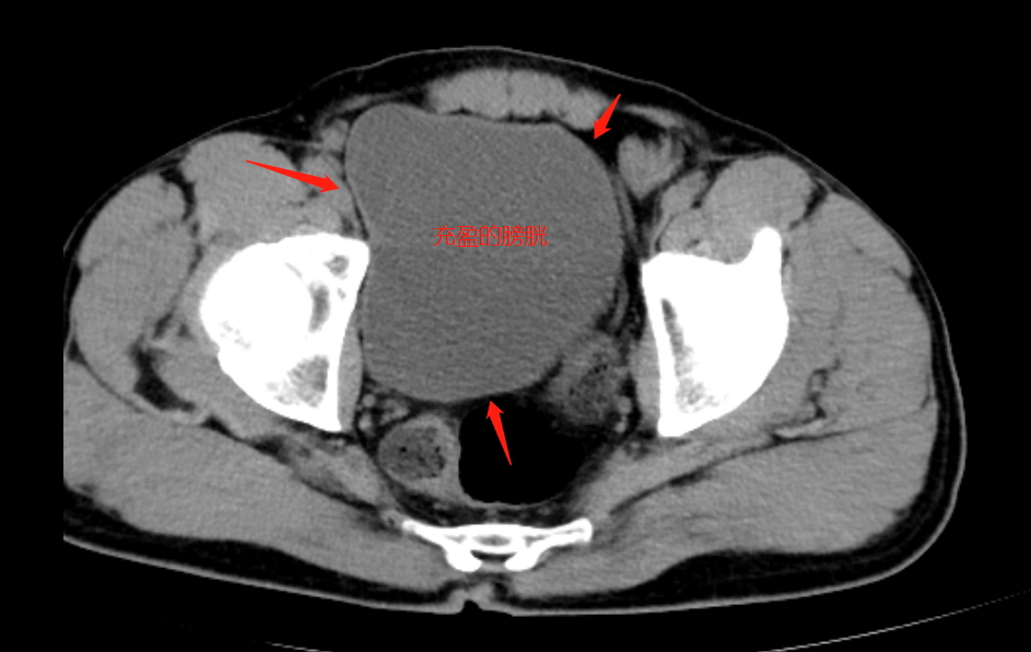
其次,如果是泌尿系统延迟显像的患者在做完第一次扫描后,需要再喝500ML水等待第二次扫描,且等待期间不能排尿。



这是因为胃里的水进入血液循环,再通过肾脏形成的尿液,暂时持续储存在膀胱中,需要一定的时间,而膀胱作为盆腔的重要器官,是盆腔CT观察和描述的重点内容之一,所以需要在充盈状态下得出准确的判断。同时,充盈的低密度膀胱作为一个良好的背景,可以更好地显示前列腺或子宫情况。
最后,做完增强CT检查后,也要记得多喝水、多排尿。
目的是稀释体内对比剂浓度、促进对比剂排泄、减轻肾脏负担,进一步提高碘对比剂的安全性、预防对比剂肾病。