食管异物是临床常见急症之一,可引起多种并发症,食管异物穿孔是严重的并发症,如能及时确诊可对临床诊治和预后都有很大帮助,所以影像检查在食管异物的诊断及治疗当中起着至关重要的作用。X线或CT检查作为一种可靠、非侵入性的诊断手段,是食管异物首选影像学检查方法。下面带大家看看X线或CT检查下这些异物是如何清晰显示的。
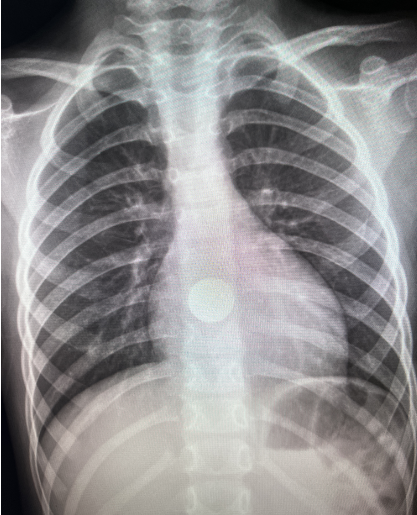
第一例患者,女性,5岁,吞入硬币

第二例患者,男性,33岁,鱼刺卡喉

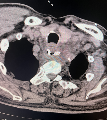
第三例患者,男性,71岁,误吞鸡骨
一、什么是食管异物?
食管异物是指因饮食不慎、误咽或其他原因,导致异物进入食管并滞留其中的情况。这些异物可能包括鱼刺、鸡骨等动物骨骼,坚果核,假牙,电池,硬币,药物等。食管异物可能会引发一系列严重的健康问题,包括吞咽困难、疼痛、感染、出血、食管穿孔甚至窒息等。因此,食管异物不容小觑,一旦发现应及时就医。
二、食管异物有什么危害?
食管里卡了异物,食管局部可能会出现肿胀和疼痛,还可能会导致溃疡。如果是特别尖锐的异物,可能会刺破食管周围的区域,引起更大的炎症或脓肿。严重的话,还可能刺破大血管,那就非常危险了。

三、常用的影像检查方法有哪些?
1、X线检查是诊断食管异物的重要方法之一,特别适用于金属等不透光的异物或大块致密骨质。方法是通过颈胸部正、侧位片来确定异物的大小、形态和部位。特点:操作简单,成本低廉,但可能无法检测到某些非金属或小型异物。
2、CT检查能够直接显示异物的形态、大小、位置以及与周围组织的关系,如与大血管等重要结构之间的相对位置。方法是通常采用静脉注射碘造影剂后立即行CT扫描,有时需分次摄片以观察不同时间点的影像变化。特点:CT检查具有较高的分辨率和准确性,能够检测出较小的异物和潜在的并发症,如食管穿孔、周围脓肿或炎症等。
3、食管钡餐造影:通过口服硫酸钡等造影剂,在X线下观察其流动情况来判断是否存在异物。患者需空腹状态下吞服特定浓度的钡剂,然后在指定时间拍摄前后位及侧位片。特点:能够显示食管的整体结构和轮廓,有助于发现异物及其引起的食管狭窄或占位病变。
4、食管镜或胃镜检查对于影像学检查未发现但临床高度怀疑存在异物的患者,应考虑行食管镜或胃镜检查。方法是使用一根带有摄像头的细长器械直接观察食道内部,可同时取样或取出异物。特点:诊断准确率高,且能同时进行异物取出操作,但属于有创检查,需要患者配合。
四、食管异物如何处理?
很多人第一时间会想到土办法,比如吞饭、喝醋、扣喉咙等等......这是靠谱的吗?-----从医学的角度来说,通通是不靠谱的!原因是:
1、吞饭。不要尝试用饭团、馒头等食物把鱼刺和骨头带进胃里,因为饭团只会把位置较浅的位置推到更深处,位置越深,医生就越难找,到了食道,可能就需要通过胃镜、食道镜甚至有报道过一例开胸取刺新闻。
2、喝醋。醋是不能软化鱼刺和骨头,不少人认为被鱼刺卡住后,喝点醋能使鱼刺软化进入消化道,但事实并非如此。有实验结果显示,把鱼刺放在醋里浸泡15分钟是可以达到软化效果,但喝醋的结果是,醋仅仅是穿喉而过,并不是把鱼刺浸泡在醋中,更何况那些大块硬骨头。
3、扣喉咙。有些人试图通过剧烈的呕吐反应把鱼刺或骨头给吐出来,但别忘了鱼刺和骨头是尖锐物,锋利的边缘会划伤周围黏膜,带来更多问题。
总之,以上这些方法不可取,不仅解决不了问题,反而可能把鱼刺带到更深的地方或是刺入更深的组织里面,增加了取出鱼刺的难度,还会增加病情的危险性。
【正确的做法】
一、停止进食。确定是否有鱼刺卡喉,可试咽唾液几次,进行确定。因为有时进食过快,鱼刺可划伤黏膜,造成一种鱼刺卡喉的假象,这种情形在临床中比较常见。真正鱼刺卡喉的感觉是吞咽时有明显的刺痛感,刺痛常持续固定在一个部位,能明确指出相应位置,而咽部静止时疼痛不明显。
二、明确卡到鱼刺及位置。先尝试用力咳嗽几声,看鱼刺是否随着气流脱落,或者含一口水漱喉咙,仰起头大声发“哈”,反复几次,靠水在咽喉部的震动和浮力使鱼刺脱出。自己或家人用手电筒照看一下口腔,如果卡在肉眼能看见的较浅位置,可以试着用镊子夹出来,切记不要在喉咙里看不见的情況下乱戳乱捣,避免损伤喉部。
三、当明确无法看到鱼刺位置时,就必须及时前往医院就诊,寻求耳鼻喉科医生的帮助。医生会根据异物的大小、位置和形态等情况,选择合适的方法进行取出。千万不要抱有侥幸心理,以免异物引起咽喉损伤,甚至诱发窒息,或鱼刺刺到周围大血管,引起大出血危及生命。
五、如何预防食管异物?
预防食管异物从以下几点做起:
1、注意饮食习惯:进食时不要过于匆忙,尤其是吃带有骨刺类食物及枣核时,应慢慢咀嚼,将刺及枣核吐出,防止误咽。
2、教育儿童:教育儿童切勿将硬币及玩具含在口中,纠正其不良习惯,防止玩耍时误咽。同时,避免孩子玩太小的玩具。
3、关注老年人:老年人吞咽功能退化,且多戴有假牙,进食时应特别小心,避免食用粘性较强的食物。义齿松动或脱落时应及时修整,并避免在睡觉时佩戴。
4、提高安全意识:在日常生活中,大家应提高安全意识,避免将非食物物品放入口中或误吞。