在现代社会,呼吸系统疾病日益成为影响人们健康的重要因素。其中,肺气肿作为一种常见的呼吸系统疾病,其发病率逐年上升,给患者的生活带来了极大的困扰。
什么是肺气肿?
肺气肿又称阻塞性肺气肿,是指呼吸性细支气管、肺泡管、肺泡囊和肺泡因过度充气呈持久性扩张,并伴有肺泡间隔破坏,以致肺组织弹性减弱、容积增大的一种病理状态。肺组织弹性收缩功能障碍、气道阻力升高等原因导致肺组织在较小压力下膨胀,且膨胀后不能将气体排空,不断增加的呼吸做功可引起胸壁顺应性和呼吸功能降低,并加重膨胀程度。
肺气肿的成因:
肺气肿常继发于慢性支气管炎、支气管哮喘等疾病,并与吸烟、职业暴露(长期接触职业粉尘和化学物质)、大气污染及感染等因素密切相关。吸烟是肺气肿形成的主要原因。据统计,长期吸烟者患肺气肿的风险比不吸烟者高出数倍。吸烟会诱发肺气肿形成,还会影响肺部免疫系统的功能,增加肺部感染的风险,从而进一步加重肺气肿的病情。
肺气肿的症状:
肺气肿在早期阶段通常无明显症状,病情进展逐渐出现活动后呼吸急促,或伴有呼吸困难、胸闷、气短等症状。伴随肺气肿病情的持续加重,患者的呼吸困难程度也会随之加重。除了呼吸道症状,患者还可出现乏力、食欲下降、体重下降、上腹胀满等全身症状。
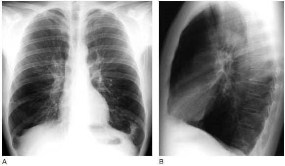
肺气肿的检查方式:
X线:轻度病变非常不敏感;晚期病变主要表现为肺膨胀过度和血管改变。
(1)肺膨胀过度的征象:1.肺野透光度升高;2.肺高增大;3.膈肌低位,膈肌变平;4.胸骨后间隙增宽。此外,还可有肋间隙增宽、纵隔向健侧移位等间接征象。
(2)血管改变:包括气肿区肺血管纹理变细、稀疏,非气肿区则代偿性的血管增粗、增多,为血流再分配表现。

CT:可以直接显示肺的低密度区,弥漫或局限改变。在检出肺气肿方面能力优于平片,高分辨CT(HRCT)由于极高的分辨率还可显示常规CT不能发现的肺气肿,从而可以更好地评估病变范围及严重程度,并成为定量评估肺气肿的理想工具。
根据肺气肿受累部位的不同,病理上可分为小叶中心型、全小叶型及间隔旁型。

(A,D) 轻度小叶中心型肺气肿,(B,E) 间隔旁型肺气肿,(C,F) 全小叶型肺气肿
肺气肿的预防和治疗:
目前,肺气肿患者尚未出现完全治愈方法,但是,可以通过一系列治疗措施,辅助肺气肿患者减轻症状,从而延缓肺气肿患者疾病的进一步恶化。
治疗肺气肿患者,主要可以通过支气管扩张剂、吸入性类固醇或者抗生素等药物进行治疗。治疗必须遵循持续性原则,即使患者已经进入病情稳定期,不良症状得到缓解,但仍然需要坚持治疗,减少肺气肿症状的发病频率,从而逐渐改善患者的肺功能。
肺气肿患者除了需要通过药物进行治疗外,还需要通过采取长期性、综合性的预防措施。主要包括以下几点:1.戒烟:戒烟是预防肺气肿的首要措施;2.改善患者营养状态、加强锻炼;3.预防呼吸道感染;4. 定期体检。