随着CT低剂量薄层扫描的发展和人们健康意识的提高,在肺部体检中,X线胸片已逐渐被低剂量CT扫描取代,同时肺结节的阳性率进一步提高。

「怎么突然长了结节?」
「磨玻璃结节是恶性的么?」
「多大概率是肺癌?」
「我到底应该怎么办?」
这些问题没有简单的答案,肺结节的判断是一个复杂的问题,每个人的情况也不一样。
绝大多数肺结节是良性的
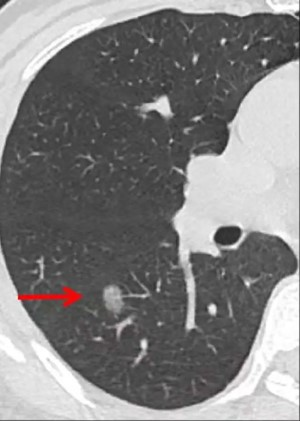
肺结节通常是由CT检查发现的类圆形或椭圆形影像(阴影),直径小于3cm,大于3cm者为肿块,小于1cm为小结节。近些年来,我们的临床工作中,尤其是门诊会经常遇到“肺结节”,看到肺结节,很多人非常担心,甚至出现焦虑,毕竟目前肺癌是全球发病率和死亡率排第一的疾病。
实际上,从很多大规模的临床试验表明,绝大多数CT发现的肺结节都是良性的。大家担心的肺部小结节并不完全等于肺癌,形成肺结节的原因有很多:除了原发性的或者转移性的肺癌,良性疾病如炎症、结核、霉菌、肺内淋巴结节、尘肺、出血等,都可以在CT上表现为一个肺结节。因此诊断结果也可能是各种各样,完全不同的。这需要有经验的临床医生、影像学诊断医生根据具体的影像表现作出临床诊断。
大多数肺结节是良性的,但有一定比例的结节是肺癌的早期表现之一。如果医生怀疑一个肺结节是癌症,他们会要求进行进一步的检查以确定结节的性质。

磨玻璃结节有可能是早期肺癌的表现
磨玻璃结节是一种在肺部影像学检查中发现的比周围正常肺组织密度稍增高,但是又低于实性结节的密度,其名称来源于这种影像效果与日常见到的半透明磨砂玻璃非常相似,因此得名。
磨玻璃结节有可能是肺癌的早期表现之一,但并不等同于磨玻璃结节就一定是早期的肺癌,磨玻璃结节只是一种影像上的表现,并不是一个病理诊断,以上提到的一些良性病变有时也同样可以表现为磨玻璃结节。因此,医生会根据具体情况可能建议进一步检查以确定其性质。早期肺癌是指肺癌在肺内的生长早期时被发现,CT检查可能表现为肺结节或磨玻璃结节(GGO)改变。
对于早期肺癌,贯彻“早发现、早诊断、早治疗”是肺癌治疗的关键,早期肺癌的治疗较为容易,不仅可以通过手术切除,还可以采用分子靶向治疗、免疫治疗、放射治疗或化疗等方法治疗。早期肺癌首选手术治疗,包括肺段、亚肺叶、肺叶切除和局部淋巴结清扫,预后良好,一般不会影响正常生活,甚至可以达到根治目的。
根据我国《中华医学会肺癌临床诊疗指南(2022版)》中推荐,随诊将对对经筛查发现的肺部结节应根据结节的位置、尺寸和密度特征进行分类管理:
1、对于位于气道的病变或影像学高度疑似肺癌的情况,应采取临床干预;
2、对于<5mm的(部分)实性结节或<8mm的非实性结节(无钙化),推荐下年度高分辨率胸部CT检查;
3、对于≥5mm的(部分)实性结节或≥8mm的非实性结节,推荐3个月后高分辨率胸部CT 复查;
4、对于新发、无法排除非肿瘤的结节,推荐先进行抗炎治疗后复查胸部CT;之后具体随访间隔,应听从专科医生的建议。一般大于8毫米的结节则应按3个月、9个月、24个月的时间段进行复查,如果两年内结节无变化,则良性可能性大,之后可每隔一年或每隔两年复查。两年内无变化仍只能说明结节良性可能性大,但并不能完全排除恶性可能。因为有些原位癌、惰性肿瘤可能多年没有变化,当遇到某些诱因、刺激等情况下又开始增殖、进展。
肺结节并不等于肺癌,肺结节的诊断需要临床医学及影像学等学科综合的判断才能明确,了解了绝大多数CT发现的肺结节都是良性的。我们战术上藐视,不要让它成为一个精神负担,影响生活、睡眠甚至工作;另一方面战术上重视,定期随诊复查,远离污染环境、戒烟,加强体育锻炼,保持健康的饮食习惯和生活方式。
但对于那些高度怀疑早期肺癌的结节,就需要积极采取干预手段,目前手术治疗对于早期肺癌的疗效比较确切,微创胸外科手术是治疗肺部小结节、早期肺癌的主要手段。