有位患者在进行腹部CT检前,临床医生要求患者不吃不喝,但是到了CT室,操作技师却要求要喝一大瓶水。许多患者表示不理解,“我明明肚子不舒服,还要让我喝那么多水,这不是难为人么?!”
相信很多患者在做腹部CT检查时都会遇到这些问题,有些患者需要在检查前喝足量的水,有些不需要,甚至严禁喝水。那接下来这篇文章带您了解下腹部CT检查的作用,以及我们在什么时候需要喝水,该如何喝水才能让影像科医生帮助患者看清楚腹部的问题。

一.腹部CT检查的目的
腹部CT检查的目的:为了解腹腔脏器有无感染性疾病,如:炎症、结核、脓肿等;有无占位性病变,如良、恶性肿瘤,转移性肿瘤等;有无脂肪肝、结石、梗阻、穿孔、积液等;还可以了解腹部脏器形态、大小、位置,看看有无发育不良或畸形等。
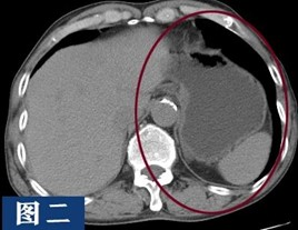
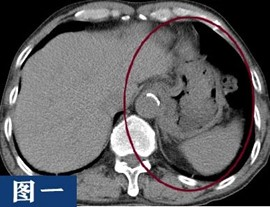
首先,我们通过一个病例来引出腹部CT喝水的重要性。

以上为同一个患者两次检查的结果,第一次没有喝水,胃没有充盈;第二次是喝水后,胃已充盈。大家可以很清楚的看到,没有充盈的胃腔且有食物残留,好似长了肿块一样,会干扰影像医生的诊断。
通过这个病例展示,患者做腹部CT检查前空腹及喝足量水是很有必要的。因腹腔内脏器较多,且大多数属于消化系统,有空腔脏器(胃、肠道、膀胱等),也有实质脏器(肝、胰腺、脾脏、肾脏等),由于缺乏天然对比,腹腔内的结构往往不能被清楚的分辨,水作为一种天然对比剂,可以增强组织与周围结构的对比度。通过喝水,胃肠道可以充分膨胀,使其内部结构更加清晰;此外,喝水还有助于减少胃肠道中气体的对图像的干扰,可以更好的帮助影像医生观察胃肠道的形态,有无异物或肿瘤等情况,减少误诊或漏诊的发生。
所以,只要临床医生不考虑急腹症所导致的腹痛,患者都应该在检查前禁食并提前喝足量水。
究竟喝多少水为好呢?
一般建议上腹部CT检查的患者在检查前20—30分钟内饮水500—1000ml(大约2瓶矿泉水);下腹部CT检查的患者在检查前1—1.5小时饮水500—1000ml。
●需要注意,如遇腹痛严重的急腹症患者,则需要禁水并尽快完善检查,以免耽误病情。
二 .腹部CT检查的注意事项
1、空腔脏器一般需禁食4-6小时,避免胃肠道中因存在食物而干扰胃肠道显示,进而导致检查结果的判断,所以上午检查效果最佳;
2、如果临床医生要求患者同时行腹部CT及钡餐检查,需要先做CT扫描,再做钡餐等其他检查,以避免空腔脏器内阳性对比剂的干扰;
3、检查前除去患者身上金属物品,如金属拉链、手机、皮带等;并训练吸气与憋气;
4、做盆腔检查前不能排尿,膀胱重要储存适量的尿量,等尿液充盈后在安排检查;
5、女性患者在检查前一定要排除怀孕的可能;妊娠女性禁止做CT检查,除非因病情所必须且患者知晓并同意;
6、对于女性受检者一定要注重其隐私保护,做好人文关怀,恪守职业道德;
7、注意对扫描部位之外的区域进行必要防护,尤其应注意对婴幼儿、少年儿童、育龄期妇女及孕妇的防护。