脖子前方、舌骨附近如果出现肿块,摸起来柔软且有囊性感,并会随着吞咽或伸舌动作上下移动,建议及时关注。这种看似“不起眼”的颈部肿物,有可能是甲状舌管囊肿。
什么是甲状舌管囊肿
这是一种颈部较为常见的先天性发育异常,多在儿童或青少年时期被发现。在胚胎早期,甲状腺组织从舌根部向下迁移至颈部正常位置,其经过的路径会形成一条细管,即甲状舌管。正常情况下,这条管道会在出生前闭合消失。若其未完全退化,残留部分就可能形成内含液体的囊状结构,称为甲状舌管囊肿。
该病的特点
◆ 位置特殊: 位于颈部正中或稍偏一侧,多数处于喉结上方。
◆ 活动性: 肿块可随吞咽、伸舌动作上下移动,这是其较为典型的表现。
◆ 一般状态: 通常表现为光滑、有弹性的肿物,大小可能有所变化,一般无疼痛。
◆ 感染时表现: 当合并感染时,可出现局部红、肿、热、痛,甚至形成脓肿或破溃,反复感染可能形成难以愈合的瘘管。
该囊肿有时易与淋巴结炎混淆,但后者通常位于颈部两侧,且一般不随吞咽动作移动。

如何诊断
1.超声检查
◆ 常见表现:可见颈前正中区域圆形或椭圆形无回声区,边界清晰,形态规整。囊壁通常较薄,后方回声增强。若合并感染,内部可能出现点状或絮状回声。
◆ 鉴别意义:有助于与其他颈部囊性病变区分,如位于甲状腺内的囊肿,或位于颈侧的鳃裂囊肿等。
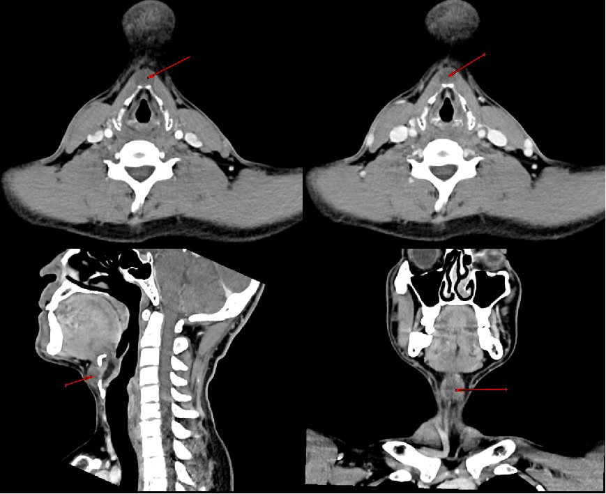
2.CT检查
◆ 平扫表现:显示为颈前正中线附近圆形或类圆形低密度影,边界清楚,密度均匀,近似水样密度。周围组织可受压移位。
◆ 增强扫描表现:囊壁可有轻度强化,囊内容物无强化。伴感染时,囊壁可增厚并明显强化。

3.MRI检查
◆ T1加权像(T1WI): 囊肿常呈低信号或等信号。
◆ T2加权像(T2WI): 囊肿呈明显高信号,边界清晰。
增强扫描表现与CT增强类似。

鉴别诊断
1.淋巴管囊肿:常为多房囊性病变,内部可见分隔,有时可见液-液平面。
2.舌下囊肿:起源于舌下腺或小涎腺,多位于舌下间隙,呈分支状或尾状。
3.鳃裂囊肿:多位于颈侧部,如下颌角后方,多为单房囊肿。
4.皮样囊肿与表皮样囊肿:好发于颏下区,其内容物若有脂肪成分,在影像学上表现具有特征性。
重要提示: 本文旨在进行健康知识科普,内容仅供参考,不能替代专业医师的面对面诊断和治疗建议。如发现身体有类似症状,请及时前往正规医疗机构就诊。文中提及的影像图片仅为示意,本文不作商业用途。请勿在未经授权的情况下将本文内容用于商业宣传。