近日,漯河市中心医院重症医学科成功为一例患有“重症肺炎”出现严重低氧血症的50岁男性患者行豫中南首例体外膜肺氧合(ECMO)生命支持治疗。患者在拥有人工肺替代支持的前提下,保证了生命的维持稳定,为肺部的治疗和恢复创造了不可替代的条件和机会。
患者于6日前饮酒后出现发热,最高体温39℃,伴咳嗽、咳黄痰,痰液不易咳出,伴腹泻、稀水样便。患者在当地诊所治疗效果差,遂来我院治疗。门诊以“发热待查”收入全科医学科,给予氧疗效果不佳,遂请我科柳彦涛副主任医师会诊。因患者呼吸急促、口唇发绀、呼吸困难,血氧饱和度难以维持,需急行机械辅助通气,遂转入我科进行抢救性治疗。


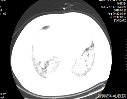
(图1.2为患者入院时肺部CT 2019-01-26)
然而,患者在机械通气、提高呼吸支持后,吸入纯氧氧分压只有47mmHg,血氧饱和度只有80%左右。柳医生立即向科主任李叶宁教授汇报病人情况,李叶宁主任当机立断,指示柳医生准备为患者使用ECMO!
ECMO是体外膜肺氧合(Extracorporeal Membrane Oxygenation)的英文简称,是将血液从体内引到体外,经膜肺氧合后再用血泵或体外循环机将血液灌入体内,对一些循环或呼吸衰竭的病人进行有效支持,使心肺得到充分休息,为心功能和肺功能的恢复赢得宝贵时间。

图3(ECMO示意图)
我科立即与河南省人民医院重症医学科的ECMO团队取得联系,同时在外地开会的李叶宁主任连夜赶回医院,召集科室ECMO小组积极准备手术,小组成员柳彦涛副主任医师白+夜24小时连轴转;王武豪医师下夜班后未合眼,急忙赶回科室继续工作;张艳艳医师顾不上即将到来的婚期继续工作;在老家休假的呼吸治疗师郭隗连夜赶回;同时刚交完班准备休息的王培华护士也在医院随时待命,以及手术室刘豪护士及科室的多名护士积极准备ECMO所需物品。在外院教授的指导下,我科成功为该患者进行高难度的V-V ECMO上机,患者的血氧指标逐渐好转。徐欢欢护士长立即组建ECMO护理小组,为患者进行专业的综合护理操作。

图4柳彦涛副主任医师与王武豪医师行股静脉穿刺术

图5柳彦涛副主任医师行彩超查看患者心脏中管道位置

图6(患者ECMO上机成功后血氧饱和度恢复正常水平)
李叶宁主任医师介绍,ECMO主要分为两种方式:V-V转流与V-A转流,V-V转流:经静脉将静脉血引出经氧合器氧合并排除二氧化碳后泵入另一静脉。通常选择股静脉引出,颈内静脉泵入,也可根据病人情况选择双侧股静脉。原理是将静脉血在流经肺之前已部分气体交换,弥补肺功能的不足。V-V转流适合单纯肺功能受损,无心脏停跳危险 的病例。V-A转流:经静脉将静脉血引出经氧合器氧合并排除二氧化碳后泵入动脉。成人通常选择股动静脉;新生儿及幼儿由于股动静脉偏细选择颈动静脉;也可开胸手术动静脉置管。V-A转流是可同时支持心肺功能的连接方式。V-A转流适合心功能衰竭、肺功能严重衰竭并有心脏停跳可能的病例。ECMO适用于:1.各种原因引起的心跳呼吸骤停;2.心功能衰竭;3.呼吸功能衰竭;4.临床上难于处理的代谢性酸中毒、心肌炎、顽固性休克、无心跳工体的脏器保护以及为心肺移植手术争取时间。
ECMO是代表一个医院,甚至一个地区、一个国家的危重症急救水平的一门技术。以往豫中南地区需要进行ECMO支持的危重症患者需要请省级医院全程进行置管、上机、转运工作。我院此例ECMO打破了豫中南地区自主ECMO治疗0的突破,填补了豫中南地区的技术空白,为豫中南地区的危重症患者带来生命的曙光。