“谭院长,手术结束了?老太太情况如何?意识恢复了么?”4月21日下午3时许,市中心医院副院长、脑外科专家谭占国教授刚出手术室,就被门外已焦急等待了5个小时的家属围了起来。大家你一言,我一语,迫切询问着患者病情。
谭占国教授说:“手术非常成功,出血已经止住,患者脱离了生命危险,目前患者正在苏醒当中,请耐心等待一会儿。待会儿我再去病房查看一下术后反应,大家放心吧。”
“谭院长,真不知道该怎样感谢您,遇到您这样的医生,真是老伴儿和我们全家的的幸运。以往看病都是患者追着医生跑,您是从百公里外回来追着患者跑,我老伴儿这条命,真是您从‘鬼门关’那儿追回来的……”患者丈夫拉着谭占国教授的手,千言万语道不尽感激之情。
这台挽救了患者生命的手术之所以获得成功,除了精湛的医疗技术、默契的医护团队协作为保障之外,手术背后的故事更体现出一名医生时刻以患者为中心的大爱担当。
患者安危是首位 放弃开会往回赶
4月21晨七时许,市中心医院急救中心值班医生李要辉拨通了谭占国教授的电话:“您好,谭院长,我院卒中中心接收了一位深度昏迷的患者,经急诊头部CT检查,经初步判断为颅内动脉瘤破裂,患者随时可能再次出血,情况危急,急需手术治疗”。
“根据患者情况,妥善准备,立即进行64排CT血管造影,了解颅脑血管情况,密切关注病情发展,同时联系神经外科专家会诊,马上将患者转入ICU做术前准备,我现在就往医院赶,患者的安康才是首位”。得知情况后,谭占国教授迅速做出治疗安排。

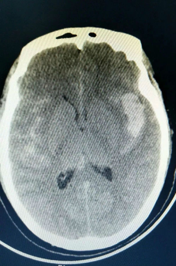
右外侧裂血肿

蛛网膜下腔出血
而此时的谭占国教授正在百公里外的郑州出席学术会议。挂掉电话后,他急忙向会务组请假,匆匆奔出会场,驱车驶向漯河。
据了解,当天早上六点多,市民陈先生发现其妻子刘女士昏倒在床边,怎么喊也喊不起醒。事发突然,陈先生急忙唤儿子、女儿将妻子抬到车上,送到了市中心医院。
李要辉回忆说:“当天患者送到我院急诊部时已完全失去意识,(面色苍白,呼唤不应,删掉)家属十分焦急、紧张。经检查,患者颅内出血。我们立即采取了治疗措施,为患者输氧,通过静脉注射药物有效控制血压,降低患者再出血的风险。脑动脉瘤就像车胎局部鼓包一样。凸出的血管壁比其它地方都薄,极易破裂,还会挤压其它脑组织。动脉瘤破裂时,就会造成颅内大出血,如不及时进行手术治疗,随时将危及生命。考虑到病情复杂,手术难度大,我马上联系了谭院长,向他汇报患者病情”。

▲术前CTA显示右大脑中动脉动脉瘤
经64排CT血管造影进一步确诊,患者为颅内右外侧裂血肿,蛛网膜下出血。李要辉及时将造影显示的图像发给谭占国教授查看,远程接受治疗指导。
高速路上,健康的希望正在向漯河驶近;手术室内,紧张的术前准备进行的有条不紊。回程途中,谭占国教授始终心系患者,每隔十分钟就打电话询问,及时掌握病情变化,调整治疗方案。
患者是圆心 病情是命令
上午9点半,谭占国教授刚下高速就拨通了电话:“患者情况如何?术前准备做好了么?”
“目前患者生命体征平稳,一切准备完毕,随时可进行手术。”神经外科一病区主治医师邢海涛说。
就在谭占国教授紧急赶往医院的路上,接诊医生一边将患者情况向医院上级进行汇报,一边与家属进行充分沟通,安抚他们紧张的情绪,积极配合治疗。
市中心医院领导得知后,立即作出部署,要求相关科室专家做好会诊准备,及时调整其它手术安排,为此台手术的顺利进行铺平了道路。
20分钟后,谭占国教授急匆匆进入医院,迫不及待的赶到手术室。顾不上片刻休息,严阵以待的医护团队急忙帮其更换衣物、消毒,进入了手术状态。

显微镜下,谭占国教授与多科医师分工协作,配合默契,小心翼翼解剖血管,抽丝剥茧,逐渐暴露位于M2处的动脉瘤。由于瘤颈较宽,采用临时夹阻断M1,用剥离子分离瘤颈两侧并放置一枚动脉瘤夹,夹闭瘤颈。最终,左侧颈内动脉、大脑中动脉近远端血流通畅。时间一分一秒的过去,经过5个小时努力,手术顺利结束。
术后不久,患者意识恢复,各项身体指标趋于平稳,目前,患者正在逐步康复当中。
面对家属的感激和谢意,谭占国教授说:“患者就是圆心,病情就是命令。一名称职的医生要始终围绕患者这个‘圆心’转,时刻为患者的病情变化做好应对准备。无论什么时候,都要将患者的健康放在首位。此次手术的顺利实施,离不开急救中心、ICU、手术室、神经外科等多科室的密切配合,再次体现出我院卒中中心对急诊脑血管病的综合救治能力。从患者入院到进行手术,卒中中心无缝衔接的救治流程、精准科学的救治措施、全方位的医疗保障等为患者争取了宝贵的治疗时机,让患者在短时间内得到适宜、有效的救治。”