饱受反复咳嗽折磨五年的王女士近日在漯河市中心医院胃肠、疝与腹壁外科重获健康。经科室团队精准诊断,其长期误诊为"慢性支气管炎""哮喘"的顽固咳嗽,实为食管裂孔疝引发的胃食管反流病(GERD)。通过腹腔镜微创手术,患者术后康复出院。
隐匿病因浮出水面
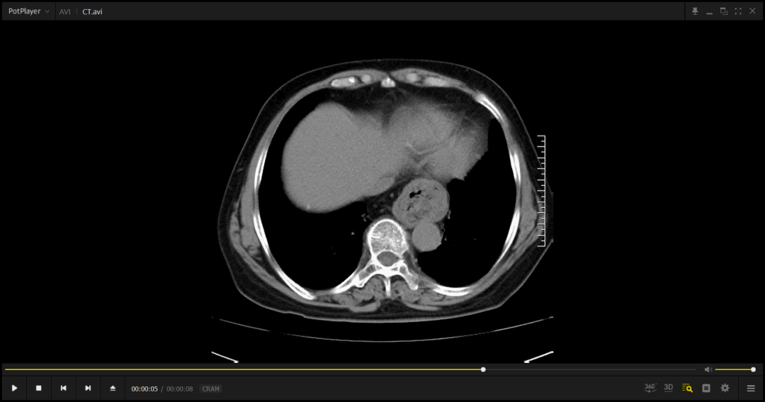
王女士五年来辗转多家医院,常规呼吸系统治疗始终无效。漯河市中心医院接诊后,通过胃镜、食道测酸、高分辨率CT等多维度检查,最终锁定"真凶"——食管裂孔直径达6cm的巨大缺损,导致胃组织疝入胸腔,长期胃酸反流刺激气道引发咳嗽。胃肠疝外科主任罗威指出:"约30%胃食管反流患者并无典型反酸症状,仅表现为慢性咳嗽、咽痛,且症状常在夜间平卧或摄入刺激性饮食后加重。"
微创技术精准施治
在李红伟主任的指导下,罗威主任医疗团队为患者实施"腹腔镜下食管裂孔疝修补+胃底折叠术"。术中在保护迷走神经的前提下,采用防粘连补片修补缺损,并行胃底Nissen折叠术形成抗反流屏障。罗威强调:"该术式既修复解剖结构,又兼顾胃肠动力功能,显著降低复发风险。"术后患者次日即可进食流质,未出现吞咽障碍等并发症。
慢性咳嗽需警惕隐匿病因

罗威提醒,若出现持续干咳、夜间反酸、胸骨后灼痛等症状,经呼吸科治疗无效时,应排查胃食管反流病。
据悉,科室已常规开展腹腔镜胃癌/结直肠癌根治、各类疝的腹腔镜下无张力修补等先进术式,为患者提供精准微创诊疗服务。