打造豫中南地区现代化区域医疗中心

您的位置 :首页 > 新闻中心 > 医学前沿

80岁+7厘米肿瘤+多器官压迫=手术禁区?这家医院说不!

来自: 本网 管理员 时间:2025-04-03 点击率:

近日,漯河市中心医院心胸外科马广耀主任团队成功为一名80岁高龄患者实施高难度巨大纵隔肿物切除术,患者术后恢复良好并已顺利出院。这一案例不仅彰显了我院在复杂胸外科手术领域的精湛技术,也为高龄患者突破手术禁区提供了重要经验。

高龄合并巨大肿物 手术风险重重

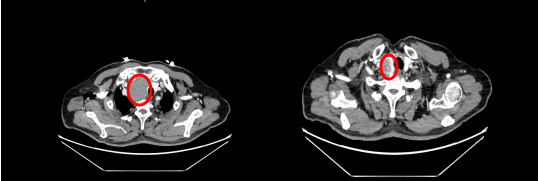
患者闫先生(化名)因无明显诱因出现声音嘶哑,吞咽困难,经检查发现其胸腔内存在一直径近7厘米的纵隔肿物,压迫喉返神经、食管,与心脏及肺组织比邻关系紧密。

由于患者高龄,且伴有高血压、慢性阻塞性肺疾病等基础疾病,手术面临三大挑战:一是肿物与心脏大血管及颈部血管、喉返神经紧密粘连,剥离时极易引发致命性出血及神经损伤;二是高龄患者对麻醉耐受性差,围术期风险陡增;三是术后肺部感染、呼吸衰竭等并发症概率高。多家医院曾因风险过高建议保守治疗,但患者及家属最终选择信任漯河市中心医院马广耀团队。

精准施策攻坚 多学科护航生命

面对复杂病情,马广耀主任团队联合甲状腺外科、麻醉科、影像科等开展多学科会诊,定制个性化手术方案。采用胸骨正中切口入路,术中邀请甲状腺外科安兆峰主任共同主刀,在完整切除肿瘤的同时,巧妙避开主动脉、肺动脉、喉返神经等关键部位,将出血量控制在100毫升以内。麻醉团队运用精准液体管理,全程维持患者循环稳定。

高龄≠手术禁区 加速康复显成效

"如此高龄患者能快速康复,关键在于微创理念贯穿全程。"马广耀主任介绍,团队通过术前预康复训练提升患者心肺功能,麻醉崔魁主任团队术中采用神经阻滞镇痛减少阿片类药物使用,术后结合中医理疗促进胃肠功能恢复。

该手术的成功实施标志着漯河市中心医院在高龄复杂纵膈肿瘤手术领域达到省内先进水平。此次案例再次证明,通过精准评估、技术创新和多学科协作,高龄患者同样能获得可靠的外科治疗。


您可能还要了解这些
预约挂号 门诊出诊 特色医疗 检验查询 病案复印 微信公众号 微博 返回顶部