在医学的浩瀚海洋中,每一位住院医师都怀揣着救死扶伤的崇高理想,踏上充满挑战与希望的成长征程,3年的住院医师规范化培训之旅,恰似青春的激昂乐章,奏响梦想起航的旋律。
我是漯河市中心医院神经内科专业基地三年级住院医师蔡黎睿,还记得初入医院时,面对复杂的病例、紧张的工作节奏时,内心满是忐忑,经过几年时间的磨炼,我已经成长为了一名专业知识扎实、心态沉稳的住院医师,我也愿意通过分享,给大家科普更多的医学知识,挽救更多的生命,以下为大家分享我近期工作中遇到的一个典型病例。
醒后卒中,是指入睡时无急性卒中症状,醒后本人或被他人发现卒中症状的急性脑梗死,占所有新发缺血性卒中的15%~25%,很多研究发现醒后卒中预后欠佳,因其发病时间不确定,常常错过静脉溶栓或血管内介入治疗。这类患者往往病情较为复杂,需要多学科联合诊疗,迅速采取溶栓取栓等措施,以最大限度地恢复脑部功能。通过高效的卒中绿色通道,医疗团队能够在最短时间内对患者进行评估和治疗,打响“大脑保卫战”。
一天清晨,我在神经内科二病区值班时突然接到急诊科电话,说现有一脑卒中患者,中年男性,凌晨01:00入睡,家人07:00发现该患者四肢瘫痪,意识不清,反应迟钝,拨打120,于07:56分送至我院急诊科就诊,紧急为患者行头部CT、心电图、血液生化等相关检查。
现场查体发现病人有急性神经功能缺损症状,且症状较重。语言不清晰,高级神经功能及颅神经检查不能配合。左侧肢体肌力0级,右侧肢体肌力3级,双侧巴氏征+。
患者家属同意溶栓治疗,但是发病时间不定,按照最新2023版中国急性缺血性卒中诊治指南,醒后卒中患者可以通过头颅磁共振(MRI)检查评估是否适合静脉溶栓,应该立即完善MRI。
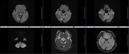
图1 磁共振显示DWI与T2 Flair序列不匹配

图2 取栓术后患者闭塞的基底动脉再通,血供良好
急查头颅磁共振显示:脑干小脑多发急性脑梗死,基底动脉闭塞。该患者DWI-T2FLAIR序列不匹配,符合静脉溶栓指征,积极与病人家属沟通后,行静脉溶栓。静脉溶栓后患者症状无明显改善,下一步怎么办?患者还正值壮年,如果就这样保守治疗预后较差,患者可能丧失劳动能力!跟我的上级医生黄圣明老师汇报情况后,决定进一步桥接介入治疗,遂联合介入科刘要先主任急诊为患者行“脑血管造影+经皮颅内动脉取栓术”,取栓术中可见患者闭塞的基底动脉再通,血供恢复。术后送ICU观察。
术后第二天患者意识恢复正常,四肢可抬离床面,转入普通病房进行后续支持治疗。10天后患者出院,出院时神经功能已经恢复正常。患者和家属感激不尽,患者是家里的顶梁柱,如果丧失了劳动能力,一家老小的生活简直无法想象,医生挽救的不仅仅是这一个病人,而是整个家庭!
急性脑梗死作为一种突发性急性脑血管疾病,是卒中最常见的类型,占所有卒中的80%。脑卒中的治疗就是一场“大脑与时间的赛跑”,尤其大血管闭塞所致的急性脑卒中,具有极高的致残率和致死率。所以,脑卒中患者抢救贵在争分夺秒,脑梗死溶栓需要在4.5小时内实施,越快消除血栓、开通血管、恢复血流,就能最大限度地保留正常的脑组织功能,有效减少或避免后遗症的发生。
每一次面对复杂病症的挑战都是我成长的契机,充满艰辛,但我知道,我的背后有我的老师,有漯河市中心医院强大的医疗团队,能协助我共同攻克一个个医疗难题,助我成长,只要我不断学习进取,用真诚和专业守护患者健康,就能不断点亮我从青涩到成熟的慢慢住培之路,在医学大道上越走越远!