作为一名影像科医生,经常会被问到检查方式如何选择的问题,比如对于患有心血管疾病的患者,可能会做过或者听说过心电图、动态心电图、平板实验、心脏彩超、冠脉CT血管成像(CTA)、冠脉数字减影血管造影(DSA)、心脏MRI等多种检查,这些检查的侧重点是什么呢?哪些是我需要做的呢?

带着这些疑问,今天为大家简要科普下心脏多种检查技术的作用和选择。
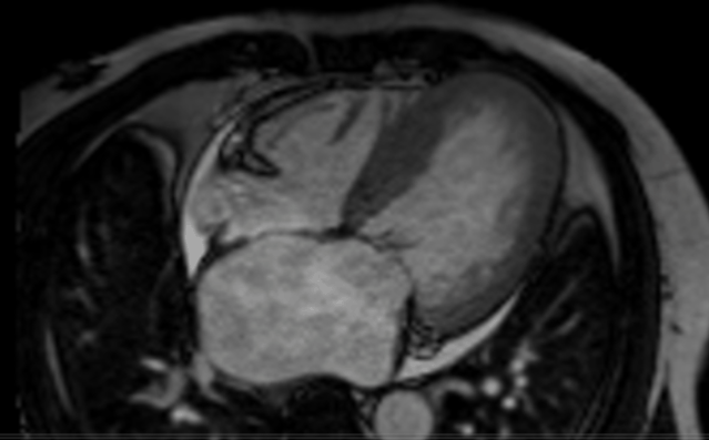
首先,我们可以把心脏想象成一个两室两厅的房子,

心电图是用来检查房子的电路问题,有没有漏电和短路(心律失常);

超声是检查房子的墙壁有没有破损(房室壁,房室间隔),窗户和门的开合(瓣膜);

CTA是检查水管有没有堵塞(冠脉狭窄);

DSA是把堵塞的水管再通(扩容/支架);

MRI是可以把房顶拆掉看内部结构。

抽血实验室检查是看水管内的水质;
此外还有核素检查等少见的检查方式。
那么我们到底该怎么选择检查方式呢?
电路问题
对于存在心慌、心悸、心跳快、心跳慢、心跳乱、眼前发黑、晕厥等症状的患者,考虑心律失常或心肌缺血时,那么会建议做心电图或动态心电图以及平板实验。
普通心电图只能监测几分钟内的心律和心肌缺血情况,

对于偶发的情况需要做24h动态心电图,

平板实验是在跑步机上观察运动状态下的心律及心肌缺血情况,结果更加客观。

墙壁门窗问题
对于存在胸闷憋气、走路憋喘、小孩走路经常蹲下来、口唇发紫、下肢浮肿、食欲不振的患者。那么要怀疑是心功能不全或者心衰,那么建议做心脏彩超,看看是不是瓣膜疾病或者心肌病,


心脏MRI可以对心脏彩超做出补充,对于心肌细胞的水肿、心肌炎与急性心肌梗死的鉴别等方面优势明显。
水管问题
对于胸痛、胸闷憋气、心前区疼痛等心绞痛症状的患者,会考虑心血管狭窄,那么建议做心电图或进一步做平板试验,或直接观察血管内部有没有斑块的冠脉CTA或冠脉造影(DSA)。



对于这些多种检查方式,没有任何一种检查是可以解决所有问题的,也没有任何一种检查是可以被取代的,了解各种检查的目的和作用,合理的选择检查方式,才能更快更准确的对疾病做出诊断,减少患者的临床痛苦。
文章 :王巍博