作者:冯贵堂
提到脑微出血,广大民众可能比较陌生,心中可能会有这样的疑问:是不是就是通常所说的脑出血呢?今天我们大家就一起来了解一下脑微出血的真实面目。
其实脑微出血属于脑小血管病范畴,首先我们来了解一下脑微出血的概念,《中国脑小血管病诊治专家共识2021》是这样定义脑微出血:脑微出血具有血液分解产物含铁血黄素的顺磁性特性,脑微出血的血管周围可见新鲜红细胞或含铁血黄素颗粒沉积,或吞噬含铁血黄素的巨噬细胞,在T2 * -GRE和SWI上 可见小圆形或卵圆形、边界清楚、均质性、信号缺失灶,但在FLAIR、T1WI序列中不可见,一般认为其直径为2~5 mm,最大可达10 mm,这个上限可以与大范围脑出血进行鉴别。因此通过定义我们可以明白脑微出血与我们通常所说的脑出血是不一样的。
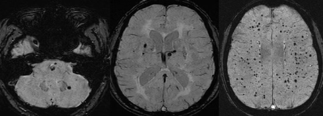
脑微出血灶主要通过MRI(T2 * -GRE和SWI,偶尔DWI)技术检查来明确诊断,而通常比较常用的颅脑CT对其无能为力,因此选择检查方法很重要。那么我们来看看脑微出血在MRI上的影像学表现。

上面三幅图像就是MRI(SWI序列)成像,图片中的多发黑点(专业术语:低信号)就是脑微出血灶。

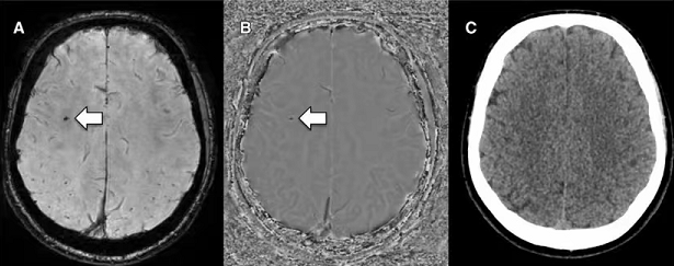
上面颅脑三幅图(MRI幅度图、MRI相位图、CT图),白箭头所指右侧额
叶斑点状黑点(专业术语:低信号)就是微出血灶,但CT未见显示,因此颅脑微出血灶检测千万不要做CT检查。
那么引起颅脑微出血的原因是什么呢?由于脑微出血隶属脑小血管病范畴,脑小血管病危险因素较多,可分为不可干预和可干预的危险因素两大类。不可干预危险因素主要包括年龄和遗传因素,而可干预因素主要是高血压,其他可干预危险因素包括吸烟、糖尿病、阻塞性睡眠呼吸暂停、慢性阻塞性肺疾病、慢性肾功能不全、高脂血症和高同型半胱氨酸血症等。有研究显示45~50岁人群中脑微出血发生率约为6%,年龄≥80岁人群中可达36%,因此随年龄增长脑微出血发生率升高。
脑微出血会有什么临床症状呢?脑微出血所导致的临床症状与其位置、数量密切相关。目前认为脑微出血可导致总体认知功能、执行功能和信息处理速度的下降,与血管型痴呆关系密切。
那么检测出脑微出血又有什么用呢?脑微出血的检测对指导临床溶栓及抗血小板治疗具有重要意义:专家共识指出对于头颅MRI显示具有少量脑微出血(1~10个)但符合其他溶栓条件的患者,静脉应用阿替普酶是合理的;对于存在大量脑微出血(>10个)但符合其他溶栓条件的患者,静脉应用阿替普酶可能会增加症状性颅内出血的风险,治疗获益尚未明确。其次存在大量脑微出血灶的患者应慎用抗血小板药物。
脑微出血灶与出血性脑卒中(脑出血)之间是一种什么关系呢?有研究结果显示:脑微出血在缺血性脑卒中组及出血性脑卒中组发生率分别为34.9%、75%,研究得出结论是脑微出血与出血性脑卒中具有密切关系,对卒中患者出血转换具有预测意义。
总之.脑微出血在脑小血管病患者中有较高的发生率,脑微出血与出血性脑卒中有密切关系,可能是一项新的出血性转化的危险因素和预测指标。对脑微出血的不断认识,对临床工作中减少出血性卒中的发生、改进卒中患者治疗方案及判断预后都有重要意义。