作者:何兵
田女士今年59岁,近8年来一直饱受膝关节疼痛困扰,到多家医院就诊均被诊断为膝关节骨性关节炎(OA),建议行全膝关节置换手术(TKA),长期口服止痛药物,经济负担不小不说,镇痛药对肝肾功能以及胃肠道的健康也产生了不小的影响,后至我院关节外科就诊,经过详细的查体和影像学评估(正侧位片,内外翻应力位片和Rosenberg位片),我们发现田女士膝关节内侧间室存在骨对骨(BOB)情况,确实患有膝关节骨性关节炎,但是我们需要在前面增加一个前缀:膝关节前内侧骨性关节炎(AMOA),入院后田女士接受了一台保膝手术——单髁置换(UKA),结合我院开展多年的关节外科ERAS理念,田女士术后当日即下床活动自行如厕,第二日步行到放射科复查术后X线后返回,围手术期全程无痛体验。


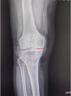
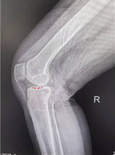
田女士手术前的膝关节X线片,正位可见内侧间室骨对骨(左,红色实线),侧位可见平台前内侧骨磨损(右,红色虚线)

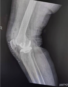
田女士接受UKA手术后的X线片,磨损的内侧间室已经完全被修补替代。
骨关节炎(OA)是导致中老年膝关节疼痛和功能障碍的主要原因,也是全膝关节置换手术的主要适应症,OA严重限制了老年人的日常活动能力,而缺乏运动锻炼又会间接引起全身各系统并发症,从而降低老年人的生活质量和预期寿命。对于症状严重并且膝关节负重位片K L分期在III-IV期的膝关节骨关节炎患者,大多数医院目前还是以全膝关节置换(TKA)为主,缺乏对患者膝关节病情的精细化评估,而单髁置换术(UKA)作为膝关节炎阶梯化治疗中的重要组成部分,属于保膝手术的一种,它的技术要求相对较高,很多医院目前还没有很好的开展。
人体的膝关节内部构造什么样?
人类膝关节的解剖结构比较复杂,由股骨、胫骨、髌骨及围绕在它们周围的肌肉、韧带、软组织构成,膝关节一共分为三个间室,即内侧间室、外侧间室和髌股间室,围绕着三个间室有着三个重要的运动轴线,即胫股关节屈曲轴、髌股关节运动轴、膝关节旋转轴,这些运动的稳定主要依靠膝关节周围韧带参与,其中比较重要的有3组:
内外侧间室的中间有两条韧带,即前交叉韧带(ACL)和后交叉韧带(PCL),它们是膝关节屈伸及旋转活动时的重要稳定结构;
内侧间室的内侧和外侧间室的外侧也各有一条韧带,即内侧副韧带(MCL)和外侧副韧带(LCL),它们是膝关节旋转和内外翻活动时的重要稳定结构。
前方的髌骨由上方的股四头肌和下方的髌韧带固定,在股骨滑车上活动,是膝关节屈伸活动时的重要稳定结构。


人类膝关节内部构造和“三个间室”

在正常步态周期中,膝关节运动发生在3个独立平面上,称作“三轴运动”
什么是OA?
膝关节骨关节炎是指多种原因引起的关节软骨退化剥脱、关节周围韧带功能不全、关节周围骨性增生等情况,进而产生的一些列慢性疼痛和功能障碍。人类的膝关节自然状态下胫骨平台向内有着3º的倾斜,并且下肢的力学轴线通常处于膝关节中心偏内侧,单足站立时70%的负荷处于内侧间室。同时亚洲人群和南地中海人群往往有着较大的胫骨内翻角(TBVA),所以在中国,超过60%的膝关节骨关节炎病人的病变仅仅累及内侧间室。


左:下肢力线与膝关节关节线的夹角,平均内倾3º
右:胫骨内翻角(TBVA):胫骨干骺端连线中点与胫骨髁间嵴中心的连线a,胫骨力学轴线b,a与b的夹角即为TBVA角。它不受胫骨平台关节磨损影响,可评估膝关节内翻程度和判断HTO预后
前内侧间室骨关节炎如果长期不接受治疗,会逐渐经历以下几个阶段:1.内侧关节间隙逐步变窄,外侧韧带和前交叉韧带的张力逐渐增加,外侧韧带尤其是髂胫束松弛, 膝关节开始出现不稳定和半脱位;2.股骨髁间窝和胫骨嵴骨赘开始形成,然后ACL出现损伤和断裂从而导致股骨后脱位,股骨内后髁软骨出现磨损;3.股骨半脱位并与胫骨嵴磨擦撞击,三间室相继开始出现病变,骨关节炎进入终末期。
什么是UKA?
单髁置换术属于保膝手术的一种,它是对内侧间室的病变进行重新研磨修补,恢复内侧副韧带的张力,将下肢力线恢复到没有发生膝关节OA之前的状态,与全膝关节置换不同的是,它没有干扰膝关节周围的韧带排列,保留了我们的外侧间室、外侧半月板、前后交叉韧带和髌股间室,手术创伤小,符合自然膝关节的活动轴线,最大程度的保留了膝关节周围的本体感觉,即使接受手术的内侧间室,也最大程度的保留了骨量。

UKA纠正膝关节力线示意图。
得了骨关节炎,我该怎么做?
首先,大可不必恐慌,所有严重的疾病都不是一蹴而就的,症状较轻的骨关节炎往往通过保守治疗即可,即使症状较为严重的前内侧骨关节炎往往也会持续数年,最好前往正规医院关节外科进行精细化的评估,选择更加合适的治疗方案,切莫讳疾忌医,盲目相信偏方,错过疗效最佳和代价最小的治疗方案。
UKA技术展望
随着快速康复(ERAS)理念在关节外科领域的普及以及UKA技术的微创化发展,国内外部分医院已经开始尝试开展UKA的日间手术,即门诊完善术前检查,早晨入院接受手术,午后出院回家,快速恢复正常的生活和工作。此外,骨关节领域材料学的飞速发展,也让UKA手术进一步优化,笔者在北京学习期间曾有幸和郭万首教授同台完成了一台全生物型单髁置换手术,无须使用骨水泥,减少了患者的骨水泥反应及花费,更快速的手术时间,更低的透亮线发生率,都让我们看到了UKA技术更为广阔的将来。

Oxford生物型单髁,无需骨水泥应用。
古时地理学家徐霞客曾立下宏愿,期待“朝碧海而暮苍梧”,现如今随着高铁、航空等交通技术的发展,“朝碧海而暮苍梧”早已成为现实。而伴随着ERAS理念和UKA技术的快速发展,也让患者“朝手术而暮返家,朝疾苦而暮消除”成为一种可能,做为一名关节外科医生,我们也将不断的加强学习和改进技术,期待与广大饱受骨关节疾病困扰的患者一同携手努力,迎接这一天的早日到来。
科普初衷
快节奏的现代生活,不规律的作息时间,高强的的工作状况,对大众的健康尤其是骨关节的健康状况产生了诸多不利影响,而不正确的锻炼方式又进一步造成了新的运动损伤。现如今人民大众对健康诉求和对疾病的认识需求也在不断提高,为了适应这种需要,在关节疾病和运动损伤疾病方面,我们会做一系列相对专业的科普内容,尽量用通俗易懂的语言来解释复杂的医学专业词汇和疾病诊疗过程,消除您对疾病的恐惧,避免您经历曲折的就诊过程和不必要的经济浪费。
本文部分图片来自于《部分膝关节置换术》、《矫形外科原则》、《骨关节功能解剖学》、《坎贝尔骨科手术学》、《骨科手术要点精编》。
作者:漯河市中心医院关节外科 何兵