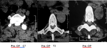
术前影像学检查
MRI: 后纵韧带骨化,尤其T1/T2水平存在巨大的 骨块压迫,C6-T1全椎板切除术后,T1-T2脊髓前方仍存在压迫,相应脊髓变细。
术前影像学检查
CT: 后纵韧带骨化,T1~2 脊髓前方存在骨化块的压迫。

诊断
胸椎后纵韧带骨化症,颈胸椎后路全椎板切除减压术后。
诊断依据
症状:双下肢麻木无力,后路减压术后无效
体征:双下肢锥体束症
影像学检查:T1~2 脊髓前方骨化块压迫
治疗策略及理由
治疗策略:行前路后纵韧带骨化块的切除,对脊髓进行减压。

理由:直接减压,避开手术的瘢痕。
术中照片或手术录像

术后影像学检查
前入路完整切除OPLL (T1-T2)

颈7~胸2前路固定

脑脊液漏的处理:
1、卧床2周,头低位
2、检测电解质有无紊乱
3、加大平衡液的补充
4、严格无菌换药,延长抗生素使用时间,应用5天
5、胸腔引流管3天后引流量消失,予以拔出
6、未进行修补及术区探查
结果:术后4周查B超,胸腔无明显积液,患者无头晕、恶心等不适,双下肢肌张力明显减低,肌力增加,术后3个月行走自如 。
术后随访
患者四肢肌力正常Ⅴ级,肌张力无异常,感觉障碍消失。
复查MRI:T1~2,脊髓向前方漂移,前后脑脊液通畅,压迫解除;在硬脊膜前方形成一个封闭的囊腔。
