作者:邢海涛
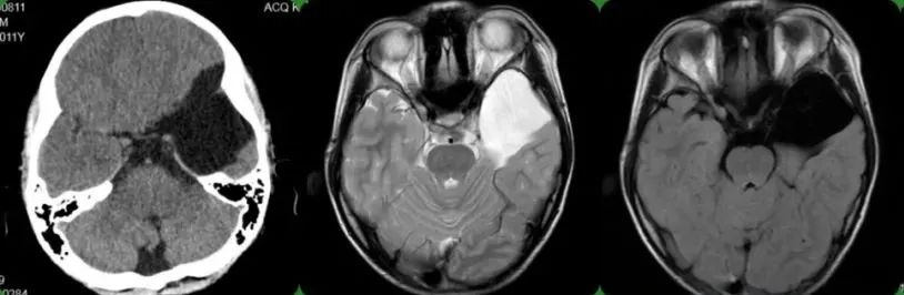
蛛网膜囊肿不是肿瘤,是脑或脊髓实质外囊性占位性病变 ,有蛛网膜样囊壁及脑脊液样的囊液。多为单发,少数多发,常位于脑裂及脑池部, 如颞叶囊肿、外侧裂囊肿、枕大池囊肿等。囊肿多位于脑表面,个别与蛛网膜下腔关系密切,实际上是脑池的巨大扩张,也有的是周围的蛛网膜下腔无交通。如图所示:

蛛网膜囊肿表面和深部由一张透明的蛛网膜形成,与脑内的脑室隔绝。体积大者可同时压迫脑组织及颅骨,可产生神经症状及颅骨改变。按病因不同可分为先天性、损伤性及感染后蛛网膜囊肿三型。分述于后:
先天性蛛网膜囊肿:是常见类型,多位于颞底和外侧裂,也可见于大脑纵裂、大脑表面或底部、小脑等处,还可能出现在鞍区、视神经、四叠体区、斜坡、桥小脑角等处。对于最常见的颞底和外侧,幼儿患者可出现颞部颅骨隆起,颞鳞部骨质菲薄及慢性颅内压增高,大多仅轻微头痛,或无明显症状,仅在偶然体检时发现,或直到成年才产生症状。症状多样化与囊肿大小及生长部位有关。小囊肿可无任何症状。
感染后蛛网膜囊肿:脑膜炎后因蛛网膜局部粘连而形成囊肿,囊内充满脑脊液,或蛋白含量较高的液体成分。大多为多发性。多见于儿童。常见于视交叉池、基底池、小脑延髓池、环池等处。因脑脊液循环通路受阻,临床可表现有脑积水及颅内压增高症状。视交叉池部囊肿可产生视觉障碍,其他部位者亦可产生局限性症状。儿童常有头颅增大。
损伤后蛛网膜囊肿:又称软脑膜囊肿。其发生机制为损伤造成颅骨线形骨折,伴硬脑膜撕裂缺损,其下方蛛网膜下腔有出血或蛛网膜周围边缘处粘连,引起局部脑脊液循环障碍,致局部蛛网膜突至硬脑膜裂口及骨折线内,在脑搏动不断冲击下渐形成囊肿,使骨折边缘不断扩大,称为生长性骨折。囊肿可突于头皮下,同时亦可压迫下方的脑皮层。囊内充满清亮液体,周围有疤痕组织。如外伤时软脑膜破损,则脑组织亦可疝入骨折处,并有同侧脑室扩大,甚至形成脑穿通畸形。
本症多见于婴幼儿。常见者为顶骨线形骨折,伤时头皮可无破裂,头皮下局部隆起,经2~3年后骨折线处裂缝扩大。骨缘向外翘起如鱼唇状,囊肿压迫脑组织可产生癫痫,轻偏瘫等神经症状。
蛛网膜囊肿的影像诊断:常规应用CT和MRI检查一般可以确诊,仅在少数情况下针对中线部位鞍上和后颅凹病变,应用脑脊液对比剂或流量测定检查。对于认知功能还可应用简易精神评分量表(MMSE)进行评价。
MRI如图所示:

CT如图所示:

那么我们遇到蛛网膜囊肿怎么办呢?首先需要找专业的神经外科医生就诊,绝大多数都是不需要担心,只是正常存在的先天发育异常。
多数学者认为对于无临床症状者则不需手术治疗,而针对有症状者,则需手术治疗,手术主要是分为囊壁切除和分流两种方法,两种方法各有利弊。需要结合患者的具体病情,囊肿的大小,以及病人的综合情况来分析判断,最后选取最佳的治疗方法。
总之,发现有蛛网膜囊肿,绝大多数都是不需要处理,不需要特殊治疗的。需要做的只是每年复查一个头部CT或MRI,以前后对比,观察囊肿有没有增大变化。