打造豫中南地区现代化区域医疗中心

全站内容 出诊查询
您的位置 :首页 > 科室导航 > 手术科室 > 神经外科 > 典型案例

小骨窗开颅脑内血肿清除术

来自: 本网 管理员 时间:2020-09-16 点击率:

  张xx,男,46岁

  患者因“突发意识不清伴呕吐3小时余”入院

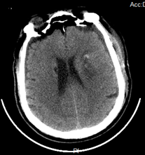
  诊断:左侧基底节区脑出血,高血压病3级(极高危组)

  入院:神志浅昏迷,GCS评分8分,双侧瞳孔圆形等大,直径2.5mm,对光反射迟钝,四肢肌力、肌张力查体不合作,右侧巴氏征阳性。

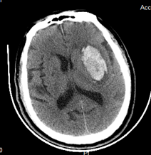
  出院:GCS评分15分,双侧瞳孔圆形等大,直径2.5mm,对光反射灵敏。右侧上肢肌力Ⅰ级,右下肢肌力Ⅱ级,左侧肌力正常,肌张力未见异常,双侧巴氏征阴性。 

微信图片_202009031642064微信图片_202009031642063

小骨瓣                               清除血肿

  
   

术前                           术后

您可能还要了解这些
预约挂号 门诊出诊 特色医疗 检验查询 病案复印 微信公众号 微博 返回顶部