作者:窦志金
去骨瓣减压术是神经外科的常见术式,在重型颅脑损伤、高血压脑出血、各种原因引起的脑疝及恶性肿瘤手术中,去骨瓣减压术缓解颅高压是降低致死率、致残率的重要手段之一。在病情稳定后需要对缺损的颅骨进行修补,以达到恢复外观和预防、治疗颅骨缺损综合征的目的。目前颅骨缺损修补材料主要以骨水泥、钛网及聚醚醚酮材料修补(PEEK材料)为主,然而颅骨修补最好的材料是自身材料(也就是开颅之后所拆卸下来的骨头),自体颅骨符合生理要求,免去了排斥反应;不需另取材料塑型;保持原有颅骨形状,几乎无头皮反应性水肿和皮下积液;修补后一段时间可达到骨性愈合的标准;外观更接近解剖学特点。国际上公认的保存方法是深低温液氮保存,颅骨不变形,在3个月左右就可以把自体颅骨放回去。
采用超低温保存的自体颅骨回植修复颅骨缺损,可恢复颅腔正常生理解剖结构,具有术后外形完美、材料保存简单等特点,具有一定的临床应用价值。
液氮中保存的自体颅骨骨瓣具有不变形缩小、无排异反应、能存活且费用低廉、保存方便、患者心理易接受等优势,临床应用超低温保存自体颅骨瓣回植是一种具有前景的治疗颅骨缺损的方法。
目前液氮保存自体颅骨回植技术在本市尚未开展,本科室的开展将填补这一空白。近期在我院神经外科一病区袁波主任及夏志民主任医师的统筹部署、制定方案下开展了两例自体颅骨修补手术病例。手术取得满意效果。病例呈现如下:
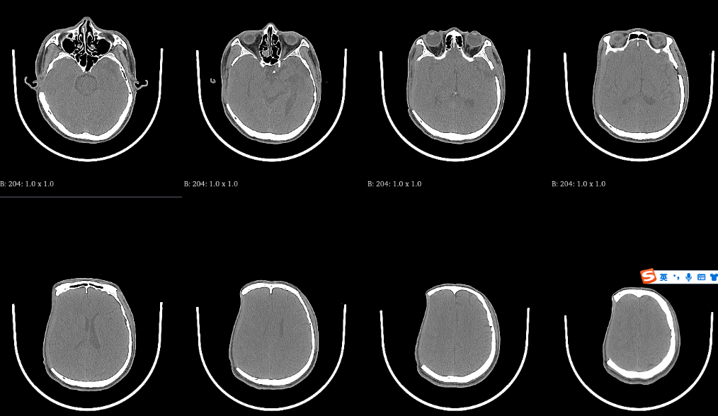
病例1:自体颅骨修补术前,去骨瓣术后2个月CT:

术中情况:


自体颅骨修补术术后CT:


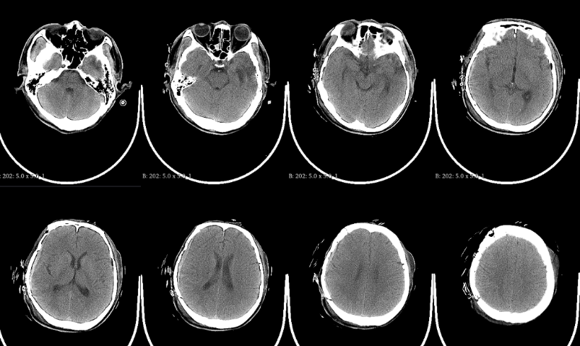
病例2:自体颅骨修补术前,去骨瓣术后3个月CT:


术中情况:


自体颅骨修补术术后CT:



神经外科一病区拥有医疗专业技术人员8名,其中主任医师2名,副主任医师2名,主治医师4人,硕士6名。科室拥有德国Leica手术显微镜、美敦力神经导航系统、美国Myfield手术头架、美国美敦力神经外科动力系统、德国蛇牌双极电凝、台湾产电动升降神经外科手术床、全套蛇牌显微手术器械、蛇牌神经内镜、整套立体定向射频手术器械、神经电生理检测系统、术中超声、CuSa术中超声吸引刀等一大批居省内乃至国内较为先进的专科设备。
承担漯河市及临近地区重症颅脑损伤、高血压脑出血的临床救治和中枢神经系统肿瘤、先天性畸形及脑血管病的防治工作。开展的巨大脑室内肿瘤切除术、颅底及岩斜区肿瘤切除术、后颅窝桥小脑角肿瘤切除术、枕骨大孔区肿瘤切除术、经单鼻孔蝶窦入路垂体瘤切除术、面肌痉挛微血管减压术、颅内动脉瘤手术夹闭术及颅内血管病变的血管内介入治疗、立体定向技术等重大显微外科技术达到省内先进水平。
神经外科一病区:3号病房楼10楼
电话:0395-3283010