打造豫中南地区现代化区域医疗中心

全站内容 出诊查询
您的位置 :首页 > 科室导航 > 非手术科室 > 肿瘤科 > 典型案例

粒子植入

来自: 本网 管理员 时间:2020-09-09 点击率:

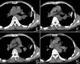
 image15.jpeg

在临床治疗过程中,经常会遇到一些病人如不能耐受化疗、拒绝手术或局部进展期病人,针对这些病患,我科近年来开展了一系列精准治疗,能够急速、最大限度的减低肿瘤负荷,快速减轻痛苦,极大提高后续化疗、免疫治疗、中药治疗及放射治疗的效果并降低副作用,提高生活质量,精准治疗已逐渐成为不愿手术或不能手术肿瘤患者的选择。I125粒子植入治疗就是其中一种。

I125粒子植入治疗肿瘤是近年来新推出的一种先进的活体内照射放射治疗新技术,它将低能量放射性核素研制成微小粒子,采用现代先进的TPS系统,在术中B超、CT或内镜引导下将“粒子”植入肿瘤及其侵浸或转移灶,通过电离辐射生物效应作用,最大程度上达到抑制、破坏并杀灭肿瘤细胞。I125粒子植入治疗首先是将放射性粒子装进植入枪,通过CT及专用穿刺架引导,将穿刺针穿入瘤体所需位置。然后将针心取出,用推进器将粒子推进瘤体,重复上述过程,使植入到体内的放射性的粒子均匀的立体分布在肿瘤体内。由于确有一些肿瘤经过外照射以后仍有残存,因此可以进行近距离治疗作为补充。

适应症:

胸部肿瘤:肺癌、乳腺癌、食管癌等;消化道肿瘤:肝癌、胰腺癌、胃癌、胆管癌、直肠癌等;泌尿生殖系统肿瘤:前列腺癌、子宫颈癌、子宫内膜癌、阴道癌等;头、颈部肿瘤:舌癌、鼻咽癌、上颌窦癌、腮腺癌、口咽癌、扁桃体癌等。另外还包括:

1、恶性肿瘤无法用其他方法治疗或治疗效果差。

2、无法手术切除或术后复发难以再手术者。

3、预计经治疗后,可使手术切除成为可能或使手术难度减低者。

4、肿瘤广泛转移,不能手术或转移灶不能切除。

5、未经治疗的原发肿瘤,例前列腺癌。

6、需要保留重要功能性组织或手术将累及重要器官的肿瘤灶,例头部肿瘤。

7、术中残留肿瘤或切缘距肿瘤太近(小于0.5cm)。

优势特点:

第一,是它非常适合肿瘤的形状,不管肿瘤长成什么样子,什么形状,我们都可以将粒子非常均匀的,立体的分布在整个肿瘤里面,根据不同的肿瘤采取最恰当的植入的方法,这样使得全部肿瘤都得到应该有的放射剂量。

第二,保护了周围的健康组织,外照射的时候,射线要穿过皮肤,通过一定的正常组织,到达肿瘤。除了肿瘤以外的那些正常组织仍然有一部分射线照射。这样不管涉及了几个射线数,都会有一部分正常组织受到一些损伤。我们现在把放射源放到肿瘤里面去了,就不会伤害到周围的组织。

您可能还要了解这些
预约挂号 门诊出诊 特色医疗 检验查询 病案复印 微信公众号 微博 返回顶部