打造豫中南地区现代化区域医疗中心

全站内容 出诊查询
您的位置 :首页 > 科室导航 > 非手术科室 > 肿瘤科 > 典型案例

射频消融治疗

来自: 本网 管理员 时间:2020-09-09 点击率:

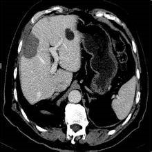
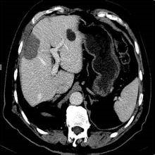
 image25.jpeg

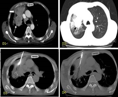
肿瘤射频消融治疗是一种杀伤肿瘤较多而损害机体较轻的肿瘤微创切除治疗方法。肿瘤细胞的特点之一是对热的耐受能力比正常细胞差,该疗法就是根据此特点,应用射频热效应引起组织细胞凝固性坏死的原理而达到消除肿瘤的目的。实施射频消融后,在消融电极的周围形成一个边界清晰近似球形的凝固坏死区,该区域覆盖的肿瘤组织被毁损灭活。凝固坏死的组织部分被人体吸收,这些坏死组织由于其细胞免疫表型的变化而具有瘤苗作用,因此发挥特殊的抗癌作用,并强化患者的免疫功能。

适应症:

可用于人体器官良、恶性实体肿瘤的治疗,目前临床应用较多的是:肝癌、肾癌、肺癌、肝脏和胸部的转移性肿瘤。对于不能手术切除的上述原发性或者转移性晚期肿瘤、不能承受放疗化疗的实体肿瘤患者,均可接受射频消融治疗。

治疗优势:

1.实时监测:能多点温度监测,实时监控靶区温度、有效消融时间和输出效率。

2.微创:射频治疗创伤小,对机体免疫功能影响小,可降低肿瘤扩散风险。

3.复发及转移癌灶可反复多次治疗。

您可能还要了解这些
预约挂号 门诊出诊 特色医疗 检验查询 病案复印 微信公众号 微博 返回顶部