打造豫中南地区现代化区域医疗中心

全站内容 出诊查询
您的位置 :首页 > 科室导航 > 非手术科室 > 肿瘤科 > 典型案例

氩氦刀

来自: 本网 管理员 时间:2020-09-09 点击率:

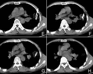
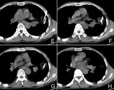
 image33.jpeg

肿瘤微创靶向治疗技术-美国氩氦超冷刀,是世界上同时兼具零下150度超低温冷冻、介入热疗、200度大温差逆转和免疫增强等多重效能的高新科技医疗系统。优于单纯高热或单纯冷冻治疗。杀灭癌细胞更有效。 该技术属纯物理治疗,具有摧毁肿瘤治疗效果确切、治疗不导致癌细胞扩散、不损伤正常组织、与放化疗不同氩氦超冷刀治疗无毒副作用,还可以有效地调控细胞因子和抗体的分泌,。它是继射频消融治疗,微波,激光,超声聚集刀,伽玛刀等之后发展起来的肿瘤治疗高新技术。在治疗肺癌、肝癌、乳腺癌、肾肿瘤等实体肿瘤方面具有优势。

适应症:

肺癌治疗、肺部良性肿瘤、肝癌治疗、肝血管瘤、胰腺癌、乳腺癌、乳腺增生、脑瘤、脊髓膜瘤、前列腺癌、前列腺增生、肾癌、肾上腺肿瘤、会阴部肿瘤、子宫癌、宫颈癌、卵巢癌、阴茎癌、皮肤癌、黑色素瘤、血管瘤、骨肉瘤、扁桃体癌、咽喉部肿瘤、鼻咽癌、神经纤维瘤、脂肪肉瘤、口腔癌、舌癌、颌面部肿瘤、颈部肿瘤等。

尤其适用于早期、中期和晚期各期实体肿瘤的治疗,尤其是那些不能手术切除的中晚期患者、或因年龄大身体虚弱等各种原因不愿手术肿瘤的患者;是不愿承受放化疗副作用或放化疗及介入治疗等治疗效果不好肿瘤患者可以选择。

优点:

1.手术时多数用局麻为主,治疗时一般在B超、CT、磁共振引导下进行穿刺,实时监测穿刺的全过程。

2.氩氦刀冷冻治疗术对于早期的小肿瘤,冷冻治疗可作为手术的替代治疗。对于晚期较大的肿瘤可作为姑息治疗,增强综合治疗的效果。

3.属微创治疗。

4.可重复治疗,也可与化疗、放疗或手术疗法相结合。

您可能还要了解这些
预约挂号 门诊出诊 特色医疗 检验查询 病案复印 微信公众号 微博 返回顶部