作者:郭敏
1、什么是糖尿病肾病?
糖尿病肾脏疾病(diabetic kidney disease,DKD)是糖尿病的慢性肾脏并发症。随着DKD的病程进展,会有不同临床表现,最常见的是蛋白尿,当出现持续的蛋白尿,肾功能逐渐受损,肾小球滤过率(glomerular filtration rate,GFR)下降并低于正常,最终可发展至终末期肾脏病即尿毒症,是糖尿病常见且危害性大的慢性并发症之一。
二、什么是肾穿刺活检术?
肾穿刺活检术即常说的肾穿刺,使用肾活检枪,从腰背部皮肤局部麻醉后进针,在B超引导下到达肾脏,穿取长约1厘米左右的肾组织行病理检查,分别送光镜、免疫荧光及电镜检查,也可根据不同病情加做一些特殊染色及检查。
三、肾穿刺活检对诊断的意义?
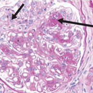
糖尿病肾病的病理特点:糖尿病早期病理改变是系膜区扩张,肾小球基底膜的增厚,随着病变的继续发展,可出现肾小球硬化呈结节状,又称kimnel-steil-wilson结节。

肾穿刺活检有助于临床明确糖尿病肾病的诊断,并且糖尿病合并肾脏疾病不一定是糖尿病肾病,据报道,糖尿病并发肾脏疾病肾活检病理发现13%是缺血性肾脏病,60%是糖尿病肾病,27%合并其它肾脏病,因此肾穿刺活检还有助于临床与其它肾脏疾病进行鉴别。
出现以下情况应考虑并发其它慢性肾脏病,建议肾穿刺活检术:
1、GFR很低或迅速降低
2、蛋白尿急剧增多
3、顽固性高血压
4、蛋白尿急剧增多
5、活动性尿沉渣(血尿、白细胞尿、管型尿等)
6、其它系统性疾病的症状和体征
7、ACEI/ARB治疗2-3月内GFR下降>30%