作者:神经内科二病区 曹向黎

72岁的陈奶奶 1周前无明显诱因突然出左侧肢体持续扭动,不停的挤眉弄眼。来到医院检查空腹血糖17.36mmol/L,糖化血红蛋白14.5 %。医生诊断为:糖尿病非酮症偏身舞蹈症,让我们揭开其神秘的面纱。最早是由Bedwell等在1960年首次报道。是糖尿病患者在不合并酮症酸中毒的情况下发生的临床少见的一组锥体外系疾病。
(1)既往多有糖尿病,血糖控制差,老年女性多见,平均年龄70岁。
(2)急性或亚急性起病,累及单侧或者双侧肢体,可逆性偏身舞蹈症,表现为肢体持续性的快速、无规律、无目的、不自主舞蹈样动作以及面部异常动作,在面部可表现为不自主的咬牙、努嘴、挤眉弄眼等。
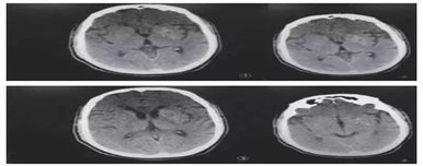
(3)影像学检查症状肢体对侧尾状核及豆状核MRI T1高信号,CT稍高密度。也有些患者虽然出现舞蹈症症状,但无影像学异常。 
(4)化验示血糖显著增高,但不伴有酮症。
目前研究认为,糖尿病性偏身舞蹈症主要是因为血糖升高后,导致的微血管病变及微循环障碍引起脑组织缺血缺氧,而基底节区是对缺氧特别敏感的区域,此处病变产生舞蹈样的锥体外系症状。雌激素可以降低黑质纹状体系统多巴胺的功能、增加多巴胺受体的密度,使多巴胺受体产生超敏现象,更年期妇女雌激素减少,故本病多见于老年女性。
治疗方案首要是对因治疗,即控制血糖
。

有趣的是有学者认为,使用胰岛素后症状改善是基于胰岛素对脑的直接调节作用,而非调节血糖的间接作用。目前临床常选用以下药物进行治疗:第一、异烟肼;第二、卡马西平;第三、氯硝西泮;第四、氟哌啶醇;第五、硫必利;第六、丙戊酸等。药物无效可选丘脑和苍白球深部电刺激(DBS)、重复经颅磁刺激(rTMS)控制症状,反映了皮质-丘脑通路在发病中的作用。

1饮食护理:合理调整饮食结构,注意饮食的多样化,以五谷类为主食,限制高脂肪、高胆固醇食物的摄入,选择质蛋白质食物,如牛奶、蛋类、瘦肉等。在平时生活中需要避免大量进食含糖量较高的食物,例如巧克力、奶茶等,以免对神经造成更大的影响。

2、改变生活方式:患者需要学会放松心情,在机体状况允许时也要进行适当体能锻炼,可以使机体状况较为稳定,对血液循环、新陈代谢有利,也能起到适当改善病情的情况。
3、心理护理:部分患者可能会因为自己异于常人的行为而产生自卑、敏感等负面情绪,若没有及时干预,可能会形成焦虑症、抑郁症等心理疾病,所以出现这些症状后,需要配合医生进行心理咨询或社会支持进行心理干预,尽量消除患者的负面情绪。
4安全护理:由于患者清醒时肢体不由不自主舞动,存在跌倒风险,床头悬挂警示牌,加用双侧床档;嘱家属24小时陪护,离床活动时必须陪同;床旁无潜在危险障碍物,保持地面干净,无水迹,防止滑倒;日用物品布置易取放:发放大小合体病号服,穿防滑鞋子;加强巡视。
5环境护理:保持病室温度适宜(≧26°),集中护理操作,减少噪音、寒冷等不良刺激;组织患者与病友共同进行运动体操锻炼,转移患者注意力减轻舞蹈症状,建立经验交流机会,营造温馨氛围。
健康指导:舞蹈症发作是患者长期处于高血糖状态所导致的。告知患者及家属严格血糖控制与监测血糖,通过示教反示教的方法使患者掌握胰岛素注射技术等。