近日,我院成功为一位心脏异物(深静脉管断裂进入心脏)患者实施PICC(经外周静脉穿刺中心静脉置管)取出术。
患者为一位65岁性肿瘤患者,为便于输液治疗,在右侧肱静脉置入一根PICC,当天治疗结束回家后,尚未发觉不适,晚上洗澡时突然发现贴膜处有渗血,家人立即将老人送往漯河市中心医院,行CT及X线检查,发现PICC已脱入心脏及肺部血管。
“如不及时取出,会形成血栓导致生命危险。”漯河市中心医院介入科主任宋太民介绍。
PICC
PICC(经外周静脉穿刺中心静脉置管)是利用导管从外周手臂的静脉进行穿刺,导管直达靠近心脏的大静脉,避免化疗药物与手臂静脉的直接接触,加上大静脉的血流速度很快,可以迅速冲稀化疗药物,防止药物对血管的刺激,它能够有效保护上肢静脉,减少静脉炎的发生。
宋太民主任和介入科团队为老人制定了详细的介入微创手术方案,并联系院肿瘤科主任马天江及其肿瘤放疗科团队进行反复评估,为患者的术后护理等计划做了细致地安排。
▲医护技三方通力配合
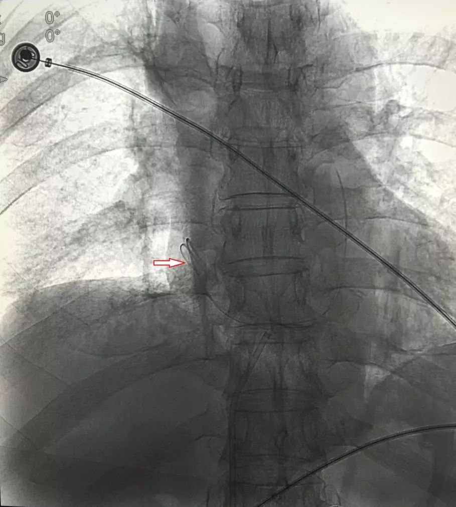
手术中,宋太民主任带领副主任医师刘刚、主治医师刘要先将取异物装置经股静脉、下腔静脉顺利置入右心房,通过透视发现导管显影较差,只有贴近造影显示屏才能隐约看到异物相互缠绕,导管头端位置更是难以确定。
宋太民主任介绍说,“导管异物取出装置必须抓取主导管头端才能顺利取出,否则导管会互相缠绕更紧,甚至打折造成取出失败,极易造成二次伤害危急生命!”

▲DSA下心脏中PICC残管显影
由于患者心理紧张,手术期间心率一度达到150次/分钟以上,宋太民主任不仅观察病情,更观察着患者的一举一动,时时俯身下来询问老人情况,不停地在耳边安慰着他,老人的紧张情绪慢慢得到了缓解,安慰好老人后,宋太民操纵着抓捕器成功套住导管头端,缓慢回撤,取出一根约40厘米长的PICC置管。拔管后加压止血包扎,造影见右心房、肺动脉显示良好,无异物影,手术顺利。

▲取出的PICC置管残端
“心脏及血管内异物是常见的血管操作的并发症,该患者PICC置入后数月内脱落,十分少见”。宋太民主任说,“对发生该类心脏及血管异物时采用介入微创方式进行取出是一种十分有效的治疗方法。”