在乳腺纤维上皮性肿瘤中,除了常见的良性纤维腺瘤,还有一种相对少见但性质更为复杂的类型——叶状肿瘤。它虽不常见,却因其生物学行为多样而需要受到重视。
叶状肿瘤多见于40-50岁女性(较纤维腺瘤发病年龄稍长),在亚洲人群中发病可能更早。患者常因发现乳房无痛性肿块、并在短期内明显增大而就医,肿块平均大小约4-5厘米,也可小至2-3厘米或巨大超过10厘米。
超声检查是初步评估的重要方法,而病理学检查则是明确诊断及分级的最终依据。
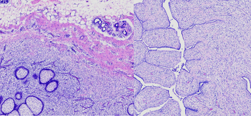
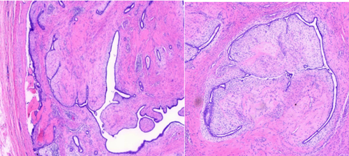
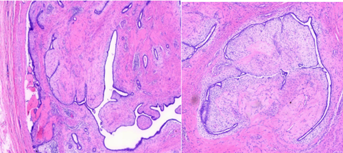
叶状肿瘤在显微镜下具有特征性的“叶状”结构,由活跃增生的间质细胞和受挤压的导管共同构成。根据细胞形态、生长活跃度、边界情况等多项病理指标,可将其分为良性、交界性和恶性三种类型。病理诊断分级5要素:①间质细胞异型性、②间质是否过度生长、③核分裂像、④细胞的丰富程度、⑤肿瘤边界情况。这种分级对于后续治疗和随访方案的制定至关重要。
1.良性叶状肿瘤:间质细胞异型性小,无过度生长,核分裂少见,轻度增生,导管周细胞增生见“袖套”样结构,边界清晰。良性占大多数,类似纤维腺瘤,手术完整扩大切除后预后良好。
2.交界性叶状肿瘤:间质细胞有一定异型性,无过度生长,核分裂象增多,中度增生,生长更活跃,达不到诊断恶性标准。交界性有局部复发的潜在风险。
3.恶性叶状肿瘤:
■ 显著的间质细胞核异型性;
■ 间质过度生长(即1个4倍物镜x10倍目镜低倍视野不存在上皮成分);
■ 核分裂象增多(10/10HPF);
■ 间质弥漫富于细胞;
■ 浸润性边界。
符合上述所有条件,才能诊断为恶性叶状肿瘤。如出现恶性的异源性成分如脂肪肉瘤(高分化脂肪肉瘤不作为恶性标准)、骨肉瘤、软骨肉瘤、横纹肌肉瘤或血管肉瘤,则可直接诊断恶性叶状肿瘤,无需考虑其他指标。恶性具有局部复发风险,少数可远处转移(血行转移至肺、骨等)。当仅符合5要素中的部分诊断标准时,诊断为交界性叶状肿瘤。
恶性诊断标准高,日常工作中存在仅符合部分标准但仍呈恶性生物学行为的病例,诊断需要综合考量。
治疗的关键在于首次治疗的彻底性。通常需要扩大切除,保证肿瘤被完整切除并带有足够的正常组织边缘(例如1厘米以上),以最大限度降低局部复发风险。
乳腺叶状肿瘤不是单一的疾病,是从良性到恶性的疾病谱系,其治疗和随访都基于精确的病理分级,诊断时一定要明确分级。在同一个病例中,可能同时存在良性、交界性、恶性组织构像,从高诊断。
叶状肿瘤术后长期随诊至关重要,良性、交界性、恶性都应定期(如每6-12个月)进行乳腺临床检查和超声复查,监测有无局部复发。恶性叶状肿瘤,还需遵医嘱建议进行胸部CT等检查,监测远处转移。
(图:良性叶状肿瘤,可见叶状结构及“袖套”样排列)

(图:交界性叶状肿瘤,细胞较丰富密集)

(图:恶性叶状肿瘤,可见经典结构及恶性成分)
重要提示:本文仅为健康科普,旨在传递乳腺疾病基本知识,不能替代专业医生的诊断与治疗建议。如果您发现乳房肿块或有任何相关健康疑虑,请及时前往正规医疗机构就诊。文中图片仅为示意,版权归原作者所有,禁止用于商业用途。