作者:崔文鹏
气胸的概念
胸膜腔是负压(低于大气压)且密闭的,而当胸膜腔密闭性破坏,气体进入胸膜腔造成积气的状态就是气胸。
气胸的病因
气胸常见于瘦高体型的人,尤其是处于发育期的青少年,肺大疱破裂形成气胸。还有一些长期抽烟的人。被锐器刺破胸腔的。或者患有结核、肺炎的人。

气胸的症状
1、胸痛:大部分气胸患者有不同程度的胸痛。胸痛可突然发生,呈刺痛或胀痛,咳嗽及深吸气时疼痛加剧。
2、呼吸困难:肺压缩小于30%,呼吸困难不明显。如果双侧气胸或者合并慢性肺部疾病,且肺功能差,会出现明显呼吸困难。
3、咳嗽:多为干咳。如果时间比较长导致了感染,则可能会咳脓痰。
哪些情况易诱发气胸
1、剧烈运动:跑步,打篮球、足球、游泳等;2、剧烈咳嗽;3、环境气压变化:当从气压高的地方到气压低的地方也会诱发气胸(比如坐飞机、登山)。
气胸的检查及治疗
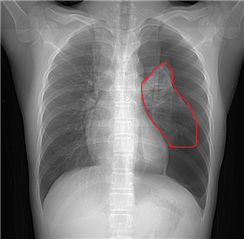
1.X线:可以能发现肺部有没有气胸,肺压迫的程度。
2.CT检查:能清晰的看到气体及肺大疱,胸腔是否有粘连。


X线:红色画线代表被压缩的肺 胸部CT:左肺黑色部分是气体
气胸的治疗
1、保守治疗:如果新发患者且肺组织压缩程度轻(小于30%),可采用保守治疗:
卧床休息一周左右,一般可自愈。
2、胸腔闭式引流术:将引流管一端放入胸腔内(一般为患侧锁骨中线第二肋间),而另一端接入水封瓶,以便排出气体或收集胸腔内的液体,使得肺组织重新张开而恢复功能。

3、手术治疗:危重患者或者气胸反复多次发作患者,可考虑外科手术治疗。目前主要是胸腔镜下肺大疱切除术,手术操作简单且术后恢复快。
胸腔镜视野下的肺大疱
气胸的预防
1、补充蛋白质,维生素,进食膳食纤维,预防便秘,增加肺活量,继续肺功能锻炼。
2、避免剧烈运动及过度劳累,避免剧烈咳嗽。
3、戒烟,避免抽二手烟。
4、预防感冒。