作者:崔文鹏
什么是漏斗胸?
漏斗胸是胸骨、肋软骨及一部分肋骨向内凹陷形成舟状或者漏斗状畸形,这是一种先天性的渐进式病变,随着年纪增长而变得越来越明显。


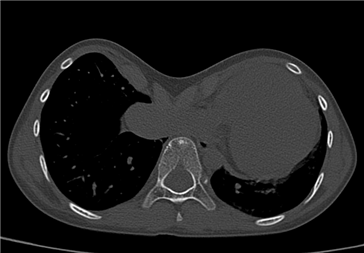
漏斗胸外观 漏斗胸CT示压迫心肺
漏斗胸病因
1、生长发育过程中,肋软骨生长过快,往前凸(鸡胸)或往后凹(漏斗胸)。
2、膈肌中央腱过短或心包和腹直肌韧带的挛缩。
3、过度牵拉,造成胸骨剑突和胸骨下位置的凹陷,形成漏斗胸。
4、肋骨和肋软骨本身的生长异常。
漏斗胸的影响
1、漏斗胸会影响心肺功能,影响心肺发育。
2、会对自身心理造成负面影响,不敢在公众场合暴露自己,形成自卑心理。
漏斗胸的误区
1.漏斗胸是由缺钙引起。2.漏斗胸是一定会遗传的。3.轻度漏斗胸不会压迫心脏。4.漏斗胸可以通过锻炼恢复正常。5. 漏斗胸手术越早做越好。
缺钙与佝偻病有关系,但是漏斗胸的发生与缺钙没有太大的关系。
漏斗胸治疗
1、传统治疗:胸骨翻转,切断胸骨和切除两侧部分肋骨,然后翻转胸骨,再用钢针固定,用线缝上截断的肋软骨,再盖上肌肉并缝合创口。该方法创伤大,出血多,时间长(约2.5~3小时),术后恢复慢。而由于钢针易移动,时常发生移位、弯曲,甚至断裂,而且术后也会留有较大的疤痕。

胸骨翻转术术后图片
2、NUSS手术 胸腔镜的监视下把矫正器安全地、准确地送到胸骨后,就可以把凹陷的胸骨抬高,术后2年去除矫形钛板。具有切口小、创伤小、并发症少,术后恢复快特点,保持了胸廓的完整性及延展性、柔韧性和弹性,增加胸廓容积,有效改善心肺功能,帮助患者重塑信心,已成为常规治疗方法。
