7月5日,我院成功为一例卵圆孔未闭的患者实施了卵圆孔未闭封堵术,据了解,此项技术在全市尚属首例。
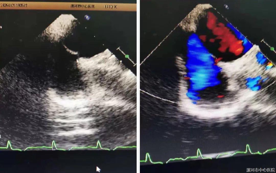
术前超声下显示卵圆孔未闭,可见右向左分流
患者为33岁男性,因“突发头晕、恶心呕吐”入住医院心内科一病区接受治疗,查头颅磁共振提示双侧小脑急性脑梗死,考虑不明原因卒中,行经食道超声心动图证实房间隔膨胀瘤并房间隔右向左分流(right-to-left shunt,RLS)。经心内科、神经内科、超声诊断科、介入科等多学科专家联合会诊后,专家们一致认为,患者的病情最适合卵圆孔未闭(patent foremen ovale,PFO)封堵术。

手术中工会主席、心内科学科带头人刘东亮教授将封堵器从股静脉入路上行送入心房,在未闭合的卵圆孔处释放封堵器,手术过程顺利,患者术后恢复良好,胸闷、心悸及头晕症状明显改善。
术后,刘东亮教授表示:“与其他先天性心脏病患者的微创治疗有所不同,该患者手术的主要目的是预防脑梗死。”

封堵器成功释放
什么是卵圆孔?

卵圆孔是胚胎发育过程中左、右心房间的一个孔道,胎儿的血液循环需要借助卵圆孔,使一部分血液从右心房流到左心房。宝宝出生后,自身肺循环建立,一般在出生后8个月或更长时间完全断绝左右心房间的血流。但有20%-25%的正常人,卵圆孔瓣膜和房间隔并不完全融合,遗留有小的潜在裂隙称为卵圆孔未闭,是目前成人中最为常见的先天性心脏异常。卵圆孔未闭的解剖学特征若合并以下几点,则属“高危”PFO:PFO合并房间隔瘤、PFO较大、PFO有静息RLS或大量RLS、PFO合并下腔静脉瓣>10mm或阿里氏网。
近年来的许多研究表明,卵圆孔未闭与不明原因脑卒中、先兆性头痛、减压病、矛盾栓塞之间存在着密切的联系。主要原因是当右心房压高于左心房压时,左侧薄弱的原发隔被推开,即出现右向左分流,下肢静脉或盆腔静脉的血栓、空气栓子、手术或外伤形成的脂肪栓子就会通过未闭的卵圆孔进入左心系统引起相应的临床症状,最常见的是脑梗死,而且对于发生过血栓的卵圆孔未闭患者其再发的危险性依然很高。
漯河市中心医院心内科一病区已常规开展房间隔缺损、室间隔缺损、动脉导管未闭、卵圆孔未闭等先天性心脏病的介入诊疗,达到手术创伤小、无刀口、手术时间短、恢复快、效果好的目的。
如有任何疑问,请拨打电话0395—3356768详细咨询。