作者:崔斌
呕吐或吐奶是新生儿或小婴儿常见的表现,常见原因如:小婴儿消化道发育不完全、内科呼吸道感染或者胃食管返流等都可以引发呕吐,但长期严重呕吐、特别是喷射性呕吐,家长一定要警惕如下疾病:先天性肥厚性幽门狭窄(congenital hypertrophic pyloric stenosis,CHPS)。CHPS是幽门管壁肥厚、增生,致使幽门管腔狭窄引起的不完全机械性梗阻,是新生儿及小婴儿器质性呕吐最常见的病因。如早期诊断、早期治疗,患儿预后良好;若不能及时诊断和正确治疗,可导致水电解质紊乱、酸碱失衡,吸入性肺炎,营养不良,生长发育差,甚至导致死亡。该病男多于女,多为足月儿。多于出生后2~3周左右开始呕吐,进行性加重,伴有胃出血者呕吐物为咖啡色。部分患儿可于右上腹扪及肿块,下腹部则平坦柔软。CHPS一旦确诊应及时于外科行幽门肌切开术,缓解幽门狭窄和梗阻。目前CHPS公认的筛查和诊断方法为超声检查。
超声表现及诊断
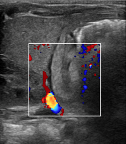
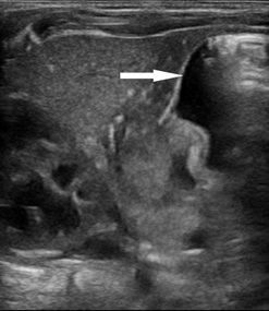
CHPS超声表现为幽门呈实质性团块,中央为幽门管腔,局部蠕动消失。诊断标准为幽门肌厚度>3 mm,幽门外径>14 mm,幽门管长径>16 mm(夏焙《小儿超声诊断学》第二版,人民卫生出版社,北京)。幽门管短轴横切面呈“靶环征”,长轴纵切面呈“宫颈”征。动态观察幽门管壁蠕动消失或出现逆蠕动,胃内容物通过幽门时受阻,可见少量气体和液体通过,胃排空延迟,常见胃内大量潴留物及液体。大部分患儿可伴有明显的胃食管返流。
鉴别诊断
CHPS应与幽门痉挛相鉴别。幽门痉挛患儿临床表现为间歇性呕吐,超声显示幽门的厚径和宽径均正常,局部管壁可见蠕动,管腔可见胃内容物通过。其它此外还需要与幽门瓣膜、环胰腺、十二指肠瓣膜、肠扭转等多种引起上消化道梗阻导致呕吐的病变相鉴别。超声仔细观察可以进一步鉴别。
病例分享
患儿女,33天,足月儿,因“反复严重呕吐30+天”于我院小儿外科门诊就诊,遂建议超声检查排除“先天性肥厚性幽门狭窄”。超声所见:十二指肠呈空虚状态。幽门壁肌层最厚约4.4mm,幽门最大横径约14mm,幽门管长约19mm(图1-3),幽门管腔变窄,胃内查见液性及稍强回声潴留物,胃内容物通过幽门管受阻(图4)。超声诊断为“先天性肥厚性幽门狭窄”。遂入院手术治疗,术中及术后病理证实为CHPS。

图1:幽门纵断

图2:幽门横断

图3:幽门CDFI
图4:胃及幽门